Ortodonzia
by
Studio Odontoiatrico Associato Dr. M. Iancu P. e Dott.ssa L. Marchione
03-02-2011
7687 visualizzazioni
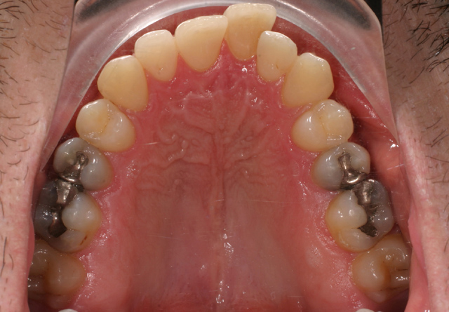
Il soggetto di sesso maschile si è presentato alla nostra osservazione per la correzione dell'affollamento dentario.
Secondo noi il caso il caso non poteva essere trattato senza estrazioni. Come si può notare a fine terapia, l'estrazione dei secondi premolari ha permesso un buon controllo dell'ancoraggio anteriore e quindi il mantenimento del profilo dentario. Inoltre,la corretta gestione degli ancoraggi ha permesso di non avere alcuna comparsa di corridoi scuri laterali. La corretta gestione degli ancoraggi conferma il fatto che anche un caso estrattivo ha una ottima riuscita estetica.
Trattamento: Estrazione di 1.5 e 2.5 superiormente con ancoraggio con un bottone di Nance
Estrazioni inferiori di 3.4 e 4.4 con arco linguale
Tecnica MBT con chiusura degli spazi per arretramento in massa.
Finitura e contenzione con essix superiore e retainer inferiore.
Caso trattato in collaborazione con la Dott.ssa Laura Marchione
Secondo noi il caso il caso non poteva essere trattato senza estrazioni. Come si può notare a fine terapia, l'estrazione dei secondi premolari ha permesso un buon controllo dell'ancoraggio anteriore e quindi il mantenimento del profilo dentario. Inoltre,la corretta gestione degli ancoraggi ha permesso di non avere alcuna comparsa di corridoi scuri laterali. La corretta gestione degli ancoraggi conferma il fatto che anche un caso estrattivo ha una ottima riuscita estetica.
Trattamento: Estrazione di 1.5 e 2.5 superiormente con ancoraggio con un bottone di Nance
Estrazioni inferiori di 3.4 e 4.4 con arco linguale
Tecnica MBT con chiusura degli spazi per arretramento in massa.
Finitura e contenzione con essix superiore e retainer inferiore.
Caso trattato in collaborazione con la Dott.ssa Laura Marchione



Dentista Abruzzo, Pescara
Vedi la scheda
Dentista Emilia Romagna, Parma
Vedi la scheda
Dentista Abruzzo, Teramo
Vedi la scheda
Dentista Friuli Venezia Giulia, Trieste
Vedi la scheda
Dentista Marche, Ascoli Piceno
Vedi la scheda