La paziente di sesso femminile si è rivolta allo studio per l'inserimento la risoluzione di una edentulia mono laterale.
Recupero di spazio: avvenuto con un sezionale su brackets tipo stright-wire. Chiusura della spazio tra canino e laterale ( tra 4.3 e 4.2 ), dopo attivazione di una molla a carico costante in NiTi di 150 gr.
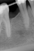
Impianto. Impianto Tixos 3,3 di diametro e 8 mm di lunghezza. Non è stato possibile inserire un impianto piu largo a causa del posizionamento distale dell'impianto e non centrale per la presenza del forame mentoniero. Questo è stato appena sfiorato come potete notare dalla rx di controllo. Un impianto messo più centrale comportava lo schiacciamento del forame. Nessuna sintomatologia parestesica riferita dalla paziente. Il caso è in attesa di protesizazione nei prossimi 4 mesi.
Condotto in collaborazione con la Dott.ssa Laura Marchione.


.jpg)
.jpg)
.jpg)
.jpg)
.jpg)
.jpg)
.jpg)
.jpg)
.jpg)
.jpg)
.jpg)

Dentista Emilia Romagna, Modena
Vedi la scheda
Dentista Sardegna, Cagliari
Vedi la scheda
Dentista Emilia Romagna, Bologna
Vedi la scheda
Dentista Lazio, Roma
Vedi la scheda
Dentista Sicilia, Catania
Vedi la scheda