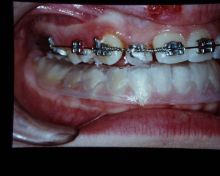
Un incisivo laterale superiore dx sul palato e' stato posizionato sul vestibolo, dopo recupero dello spazio necessario per l'allineamento.
Durata della terapia 14 mesi.
Durata della terapia 14 mesi.
TAG: Incisivo lalerale dx palato
Ricerca fra tutte le regioni Trova il dentista
Dentista Lombardia, Varese
Vedi la scheda
Dentista Marche, Macerata
Vedi la scheda
Dentista Piemonte, Alessandria
Vedi la scheda
Dentista Lombardia, Como
Vedi la scheda
Dentista Lombardia, Milano
Vedi la scheda