Menu

Ortodonzia | Domande Pag. 41 (da 41 a 45)

Risultati trovati: 929

Lunedì hanno messo un apparecchio per dilatare il palato a mio figlio di 8 anni

Lunedì hanno messo un apparecchio per dilatare il palato a mio figlio di 8 anni. Il bimbo ha molto fastidio e non riesce a mangiare. Dice di non riuscire a chiudere totalmente i denti e di avere fastidio al palato nel lato destro (vedi foto 1). Inoltre ha molto fastidio creato dai 2 anelli sul lato esterno alle corone che fermano

Leggi tutto

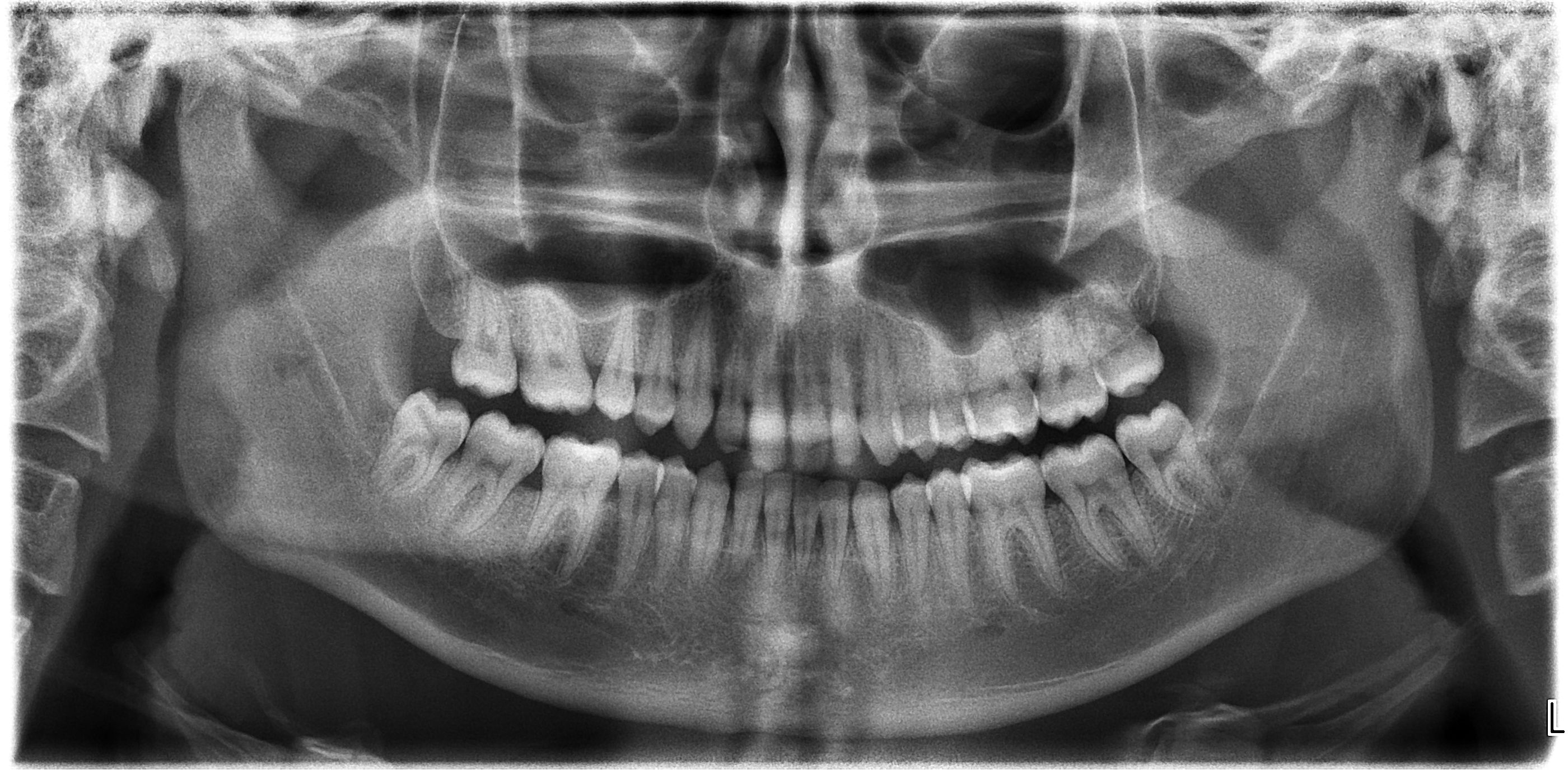
Vorrei solo sapere cosa suggeriscono di primo acchito queste immagini ad uno specialista

Salve. Allego RX latero-laterale e postero-anteriore e un paio di foto per una valutazione molto approssimativa del mio caso. So che non è possibile né effettuare una diagnosi né dare indicazioni terapeutiche senza visita, studio cefalometrico ed impronte. Vorrei solo sapere cosa suggeriscono di primo acchito queste immagini

Leggi tutto

Malocclusione di seconda classe con morso profondo

La domanda riguarda mio figlio di quasi 13 anni. In seguito ad una visita odontoiatrica ci è stata consigliata una visita di ortodonzia. Abbiamo contattato due specialisti in ortognatodonzia che dopo una visita del bambino, con relative analisi sia delle radiografie ortopanoramica delle arcate dentarie che della teleradiografia del cranio,

Leggi tutto

I miei denti superiori si sono spostati definitivamente in questo modo?

Buonasera a tutti e grazie in anticipo a chi dedicherà un pò di tempo per leggere il mio problema e darmi una risposta. Spero di essere il più chiara possibile. Ho messo l'apparecchio ortodontico fisso nell'arcata superiore a maggio 2012 per il canino sx superiore incluso, che poi tanto incluso non era dato che mi era erotto e

Leggi tutto

Ho subito in passato una frenulectomia all’arcata superiore per superare un diastema...

Buongiorno. Premetto che so già che non è possibile effettuare una diagnosi ortodontica e offrire proposte terapeutiche solo sulla base di una descrizione senza vedere OPT ed RX latero-laterale e postero-anteriore, fare le misurazioni cefalometriche e soprattutto visitare il paziente. Ma partendo dal presupposto che la situazione

Leggi tutto

E' normale che da quando uno toglie l'apparecchio a quando mette il retainer possa passare cosi tanto tempo?

Buongiorno, ho 26 anni e dopo quattro di apparecchio linguale finalmente è arrivata l'ora di toglierlo. Ho tolto infatti l'apparecchio all'arcata inferiore due venerdì fa e dovevo mettere il retainer, solamente che avevo le gengive troppo gonfie e la dentista mi ha detto di prendere un appuntamento per il 1 marzo per mettere il

Leggi tutto

A mia figlia di 8 anni è stata diagnosticata un'agenesia degli incisivi laterali

Buongiorno, a mia figlia di 8 anni è stata diagnosticata un'agenesia degli incisivi laterali e trasposizione del canino e del premolare. Ho consultato due ortodontisti con due pareri diversi. Il primo è propenso per utilizzare un espansore per creare un po' di spazio nel palato, lasciare in posizione gli incisivi da latte e poi, tra

Leggi tutto

Ci sono ancora possibilità di risolvere il problema del morso profondo?

Salve, ho 23anni, e praticamente sono in una situazione abbastanza critica e difficile... ho il morso profondo e mi mancano i 4 canini. In giovane età ho provato a risolvere questi problemi con vari apparecchi dentali...non avendo ottenuto risultati, all'età di 20anni ho commesso, probabilmente, un errore, perchè mi sono fatto

Leggi tutto

Molti mesi fà mi recai da uno specialista in ortodonzia perchè volevo correggere i miei denti storti

Molti mesi fà mi recai da uno specialista in ortodonzia perchè volevo correggere i miei denti storti (incisivi centrali superiori e inferiori sporgenti e piccoli diastemi) dopo aver effettuato una lastra il mio dentista ha deciso che non era il caso di mettere apparecchi ortodontici, per il seguente motivo: 'Dopo aver valutato la

Leggi tutto

Ho un problema di malocclusione e di postura

Buongiorno, vorrei chiedere gentilmente un vs parere riguardo alla mia situazione. Ho 34 anni e due bimbi (l'ultima 1 anno e mezzo). Premetto che una decina di anni fa un dentista mi diagnosticò problemi di maleocclusione e probabilmente bruxismo. La mia mandibola faceva cric da un lato e in più certi denti a detta del dentista erano

Leggi tutto