Ortodonzia
by
Studio Odontoiatrico Associato Dr. M. Iancu P. e Dott.ssa L. Marchione
24-11-2013
2994 visualizzazioni
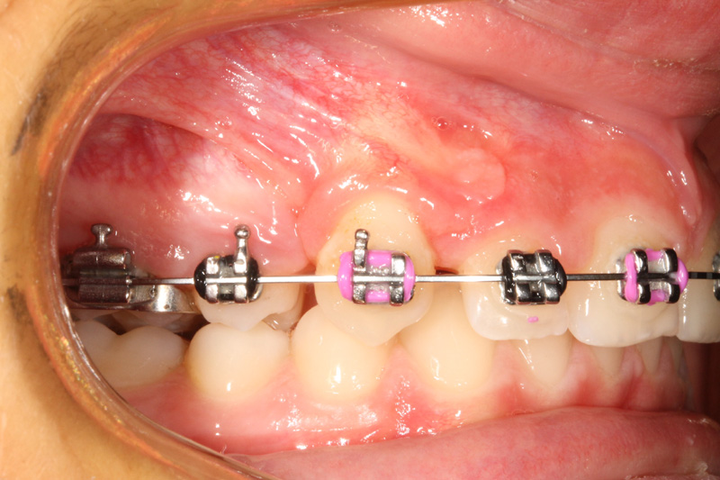
SI de.cide di trattare il caso con estrazioni in arcata superiore in quanto la relazione scheletrica e dentale di piena seconda classe sono una controindicazione in questo caso per la distalizzione.
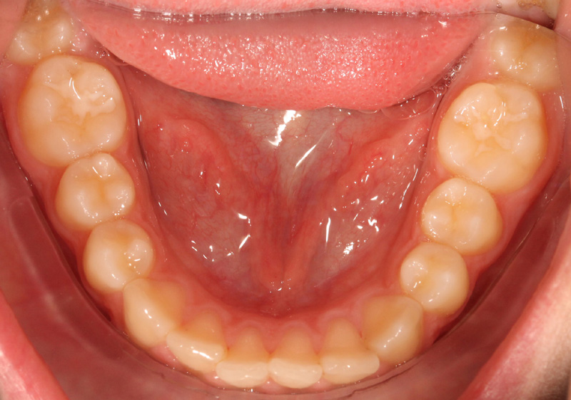
Si decide di trattare solo l'arcata superiore per la perfetta condizione della arcata inferiore e per la perfetta relazione molare di II Classe
Si decide di trattare solo l'arcata superiore per la perfetta condizione della arcata inferiore e per la perfetta relazione molare di II Classe


.jpg)
.jpg)
.jpg)
.jpg)
.jpg)
.jpg)
.jpg)
.jpg)
.jpg)
.jpg)
.jpg)
.jpg)
.jpg)


Dentista Lombardia, Milano
Vedi la scheda
Dentista Emilia Romagna, Modena
Vedi la scheda
Dentista Campania, Napoli
Vedi la scheda
Dentista Campania, Napoli
Vedi la scheda
Dentista Toscana, Firenze
Vedi la scheda