Oggi dopo molti anni di pratica ortodontica il mio scopo è di cercare se possibile di essere meno invasivo e più possibile rapido nel trattare il piccolo paziente.
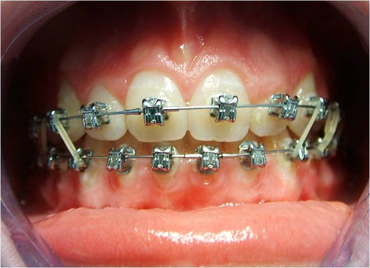
Eseguo sempre una fase elastodontica iniziale per cercare di rimuovere il più possibile le abitudini neurofunzionali inadeguate al raggiungimento di un'ottima stabilita' futura del caso, come deglutizione atipica o onicofagia o morsicamento del labbro inferiore o, ancora peggio, respirazione orale e suzione del pollice veri buldozer del dissesto ortodontico a fine cura .
Eseguo sempre una fase elastodontica iniziale per cercare di rimuovere il più possibile le abitudini neurofunzionali inadeguate al raggiungimento di un'ottima stabilita' futura del caso, come deglutizione atipica o onicofagia o morsicamento del labbro inferiore o, ancora peggio, respirazione orale e suzione del pollice veri buldozer del dissesto ortodontico a fine cura .

















Dentista Umbria, Perugia
Vedi la scheda
Dentista Abruzzo, Pescara
Vedi la scheda
Dentista Friuli Venezia Giulia, Trieste
Vedi la scheda
Dentista Lazio, Roma
Vedi la scheda
Dentista Campania, Salerno
Vedi la scheda