Ortodonzia
by
Studio Odontoiatrico Associato Dr. M. Iancu P. e Dott.ssa L. Marchione
21-10-2011
9487 visualizzazioni
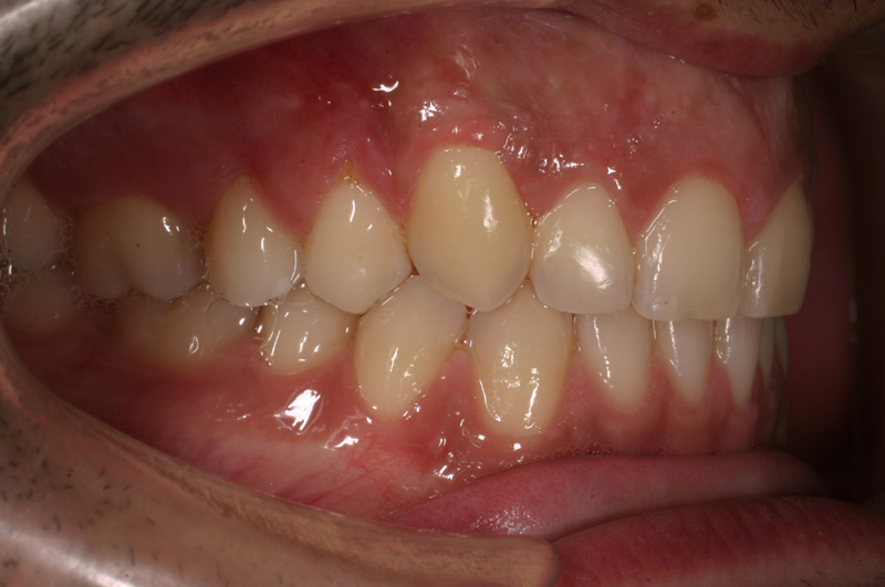
Il paziente di sesso maschile si presenta alla nostra osservazione per la disinclusione del canino incluso in sede 1.3, con la precisa richiesta di eseguire il trattamento solo in arcata superiore.
Il trattamento ortodontico-chirurgico ha richiesto la trazione del dente incluso a cielo coperto ed il finale rimodellamento della gengiva sul elemento 1.1 per correggere la linea del sorriso.
Durata della terapia di circa 1,4 anni.
Il trattamento ortodontico-chirurgico ha richiesto la trazione del dente incluso a cielo coperto ed il finale rimodellamento della gengiva sul elemento 1.1 per correggere la linea del sorriso.
Durata della terapia di circa 1,4 anni.



Dentista Piemonte, Alessandria
Vedi la scheda
Dentista Sicilia, Messina
Vedi la scheda
Dentista Veneto, Venezia
Vedi la scheda
Dentista Veneto, Verona
Vedi la scheda
Dentista Sardegna, Sassari
Vedi la scheda