Ortodonzia
by
Studio Odontoiatrico Associato Dr. M. Iancu P. e Dott.ssa L. Marchione
03-02-2011
6341 visualizzazioni
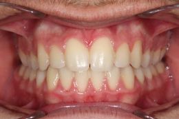
Il paziente si è presentato alla nostra osservazione con una ectopia di un 2.3,disallineamento dentario ed un lieve morso profondo.
Terapia:
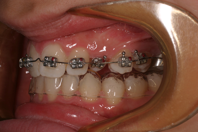
-Terapia multibrackets MBT con una prima fase di apertura del morso mediante mascherina termostampata in arcata inferiore.
- Corretta la ectopia si è proceduto ad un rimodellamento gengivale mediante una fresa in ceramica tipo tissue trimmer
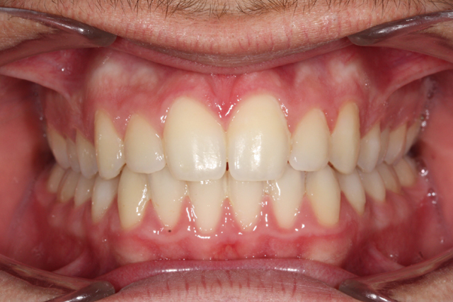
- Finalizzazione del caso
- Contenzione mediante Essix trasparente superiore
- Retainer fisso inferiore
Caso condotto in collaborazione con la Dott.ssa Laura Marchione
Terapia:
-Terapia multibrackets MBT con una prima fase di apertura del morso mediante mascherina termostampata in arcata inferiore.
- Corretta la ectopia si è proceduto ad un rimodellamento gengivale mediante una fresa in ceramica tipo tissue trimmer
- Finalizzazione del caso
- Contenzione mediante Essix trasparente superiore
- Retainer fisso inferiore
Caso condotto in collaborazione con la Dott.ssa Laura Marchione



Dentista Veneto, Treviso
Vedi la scheda
Dentista Abruzzo, Teramo
Vedi la scheda
Dentista Marche, Macerata
Vedi la scheda
Dentista Sardegna, Carbonia Iglesias
Vedi la scheda
Dentista Marche, Ascoli Piceno
Vedi la scheda