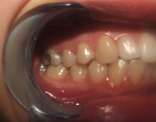
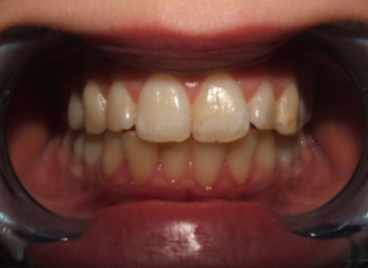
Molte volte i pazienti rimangono esterrefatti quando proponiamo una terapia estrattiva per la risoluzione di un caso ortodontico. Questo è comprensibile se osserviamo la situazione dal loro punto di vista, poiché non riescono a comprendere come si possano sacrificare quattro denti "sani", soprattutto se ci si trova di fronte a soggetti giovani. In realtà il sacrificio di quattro denti, che può sembrare eccessivo, va visto come l'unica soluzione possibile per raggiungere lo scopo che l'ortodontista si prefigge, ossia ristabilire una corretta occlusione dentaria, nel rispetto del profilo e nel rispetto del sorriso del paziente. Di seguito propongo un caso nel quale la paziente si presenta in studio dicendomi: "non sopporto più la vista dei miei denti così in avanti". Dopo lo studio del caso, a una richiesta estetica molto precisa, ho potuto dare una risposta a mia volta molto precisa e perentoria: "L'unica strada percorribile è l'estrazione di quattro premolari con l'arretramento degli incisivi superiori e inferiori". La tecnica ortodontica ha previsto l'arretramento del gruppo frontale con controllo del torque in tutte le fasi dello spostamento, in massimo ancoraggio posteriore.











.jpg)








Dentista Piemonte, Alessandria
Vedi la scheda
Dentista Lazio, Roma
Vedi la scheda
Dentista Campania, Salerno
Vedi la scheda
Dentista Campania, Napoli
Vedi la scheda
Dentista Sardegna, Cagliari
Vedi la scheda