Normalmente il mantenitore di spazio (vedi l'articolo Perdita precoce di un dente...) serve a preservare gli spazi necessari all'eruzione dentaria quando viene meno un dente da latte, in tempi precoci rispetto alla normale permuta.
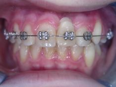
Nel caso qui visualizzato, invece, è stato realizzato un mantenitore per preservare lo spazio dopo avulsione traumatica dell'incisivo.
Il piccolo paziente per questa mancanza e per la malocclusione che lo affligge si presenta alla nostra osservazione. Dopo una prima fase di allineamento e di recupero dello spazio fisiologico per un futuro riposizionamento del dente, viene applicato all'apparecchio ortodontico fisso un dente modellato in resina per il recupero e il mantenimento dello spazio. Il bordo incisale del dente in resina, inizialmente allineato con i contigui, adesso risulta leggermente più apicale per movimenti degli stessi.



Dentista Emilia Romagna, Parma
Vedi la scheda
Dentista Sardegna, Sassari
Vedi la scheda
Dentista Piemonte, Torino
Vedi la scheda
Dentista Liguria, Savona
Vedi la scheda
Dentista Molise, Campobasso
Vedi la scheda