Ortodonzia
by
Studio Odontoiatrico Associato Dr. M. Iancu P. e Dott.ssa L. Marchione
23-02-2008
6928 visualizzazioni
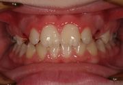
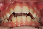
.... griglia linguale ( solo 4 mesi) e successivamente con Barra palatale in intrusione (discostata dal palato),in contemporanea al dispositivo elastodontico. Sono state associate sedute di terapia miofunzionale logopedica. Il caso e' ancora sotto controllo ma la durata di trattamento effettiva e' stata di anni 2!.



Dentista Piemonte, Torino
Vedi la scheda
Dentista Sicilia, Trapani
Vedi la scheda
Dentista Emilia Romagna, Parma
Vedi la scheda
Dentista Lombardia, Monza e Brianza
Vedi la scheda
Dentista Lombardia, Milano
Vedi la scheda