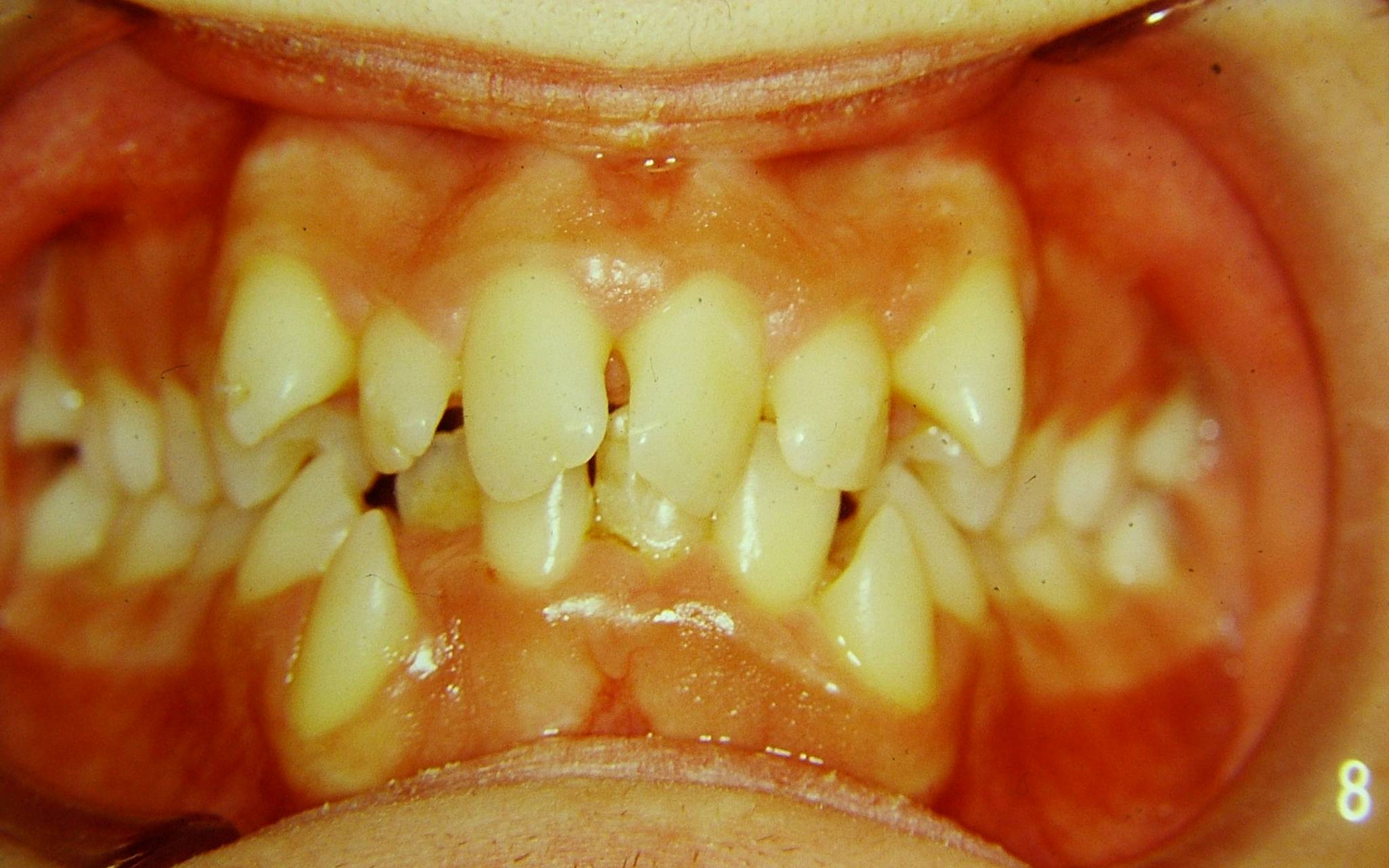
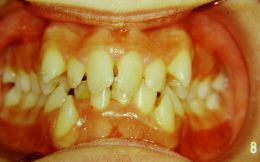
Caso ortodontico complesso in paziente adulto; prima classe scheletrica tendente alla biprotrusione. Terapia proposta: apparechhio fisso miniunitwin utizzo delle frizione differenziato. Teccnica avanzata di gestione della frizione.
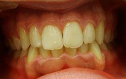
La biprotrusione puo' essere trattata con estrazione dei premolari
Caso impegnativo di grave affollamento in pz biprotruso che ha richiesto la estrazione di 14 24 34 44
TAG: La biprotrusione puo' essere trattata con estrazio










Dentista Emilia Romagna, Parma
Vedi la scheda
Dentista Umbria, Perugia
Vedi la scheda
Dentista Lazio, Roma
Vedi la scheda
Dentista Emilia Romagna, Bologna
Vedi la scheda
Dentista Sardegna, Cagliari
Vedi la scheda