Conservativa
by
Studio Medico Odontoiatrico Dott.ri Bianciotto - Fusaro
21-04-2011
2913 visualizzazioni
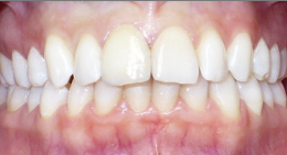
Paziente si presenta con elemento fratturato in sede 1.1.
Elemento vitale e paziente che scopre totalmente gli elementi frontali durante il sorriso.
Si procede con un restauro tramite una faccetta estetica in ceramica.
Viene eseguita una preparazione superficiale per ottenere adesione della faccetta e contemporaneamente una mimetizzazione del manufatto.
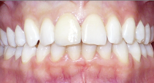
I risultati a lungo termine dimostrano un'ottima integrazione estetica e un margine gengivale che perfettamente si adatta alla superficie ceramica del dente ricostruito.
Essenziale la cementazione con diga di gomma.
Elemento vitale e paziente che scopre totalmente gli elementi frontali durante il sorriso.
Si procede con un restauro tramite una faccetta estetica in ceramica.
Viene eseguita una preparazione superficiale per ottenere adesione della faccetta e contemporaneamente una mimetizzazione del manufatto.
I risultati a lungo termine dimostrano un'ottima integrazione estetica e un margine gengivale che perfettamente si adatta alla superficie ceramica del dente ricostruito.
Essenziale la cementazione con diga di gomma.






Dentista Liguria, Imperia
Vedi la scheda
Dentista Friuli Venezia Giulia, Udine
Vedi la scheda
Dentista Lombardia, Milano
Vedi la scheda
Dentista Puglia, Brindisi
Vedi la scheda
Dentista Campania, Napoli
Vedi la scheda