Menu

Diastema | Domande Pag. 6 (da 6 a 10)

Risultati trovati: 83

Ho 25 anni e presento i denti abbastanza spaziati

Ho 25 anni e presento i denti abbastanza spaziati, il mio dentista mi ha sconsigliato di mettere l'apparecchio in quanto sostiene che sono troppo larghi e dopo un po' ritornerebbero nella loro posizione originaria. Vorrei sentire altri pareri voi che consigliate? Grazie

Leggi tutto

SEGUITO ALLA DOMANDA: Ho un diastema di circa 2 mm tra gli incisivi centrali dell'arcata superiore

Salve. Qualche mese fa avevo posto una domanda. Oggi sono stato sottoposto a frenulectomia e subito dopo mi è stato installato l'apparecchio fisso con brackets trasparenti. La mia perplessità consta nel fatto che l'apparecchio (che è solo superiore) si estende SOLO da canino a canino. Perchè l'apparecchio non è

Leggi tutto

SEGUITO ALLA DOMANDA: Si è creato un minuscolo spazio tra i due incisivi centrali superiori

Sulla base delle vostre risposte, allego foto, seppure capisco che solo si intraveda lo spazio tra i due incisivi, che come dicevo in molti altri casi si copre con la saliva. Vi chiedo piuttosto il nominativo di uno specialista paradontologo a Bergamo o nella provincia di Brescia nella zona ovest a cui rivolgermi. Vi

Leggi tutto

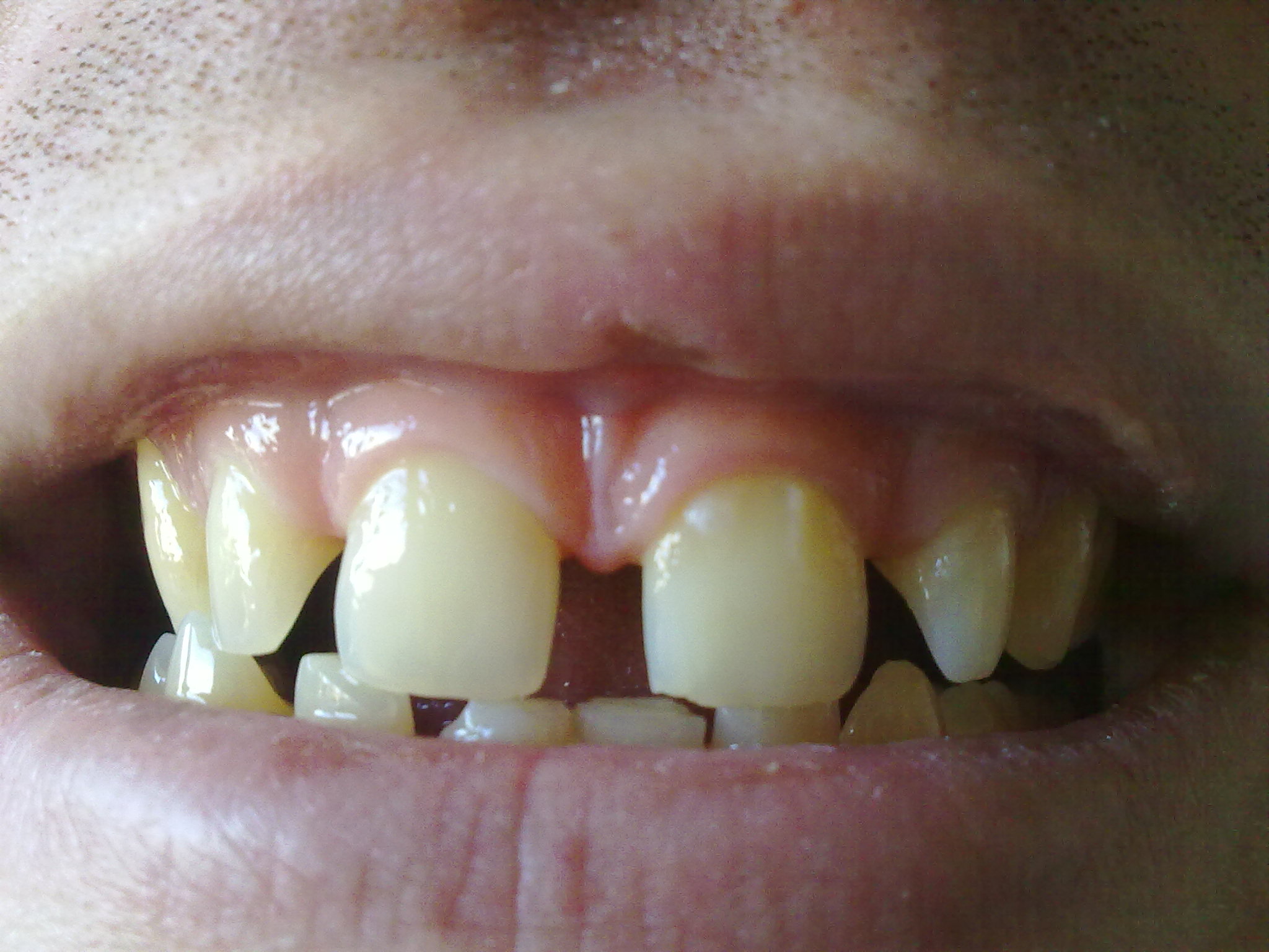
Si è creato un minuscolo spazio tra i due incisivi centrali superiori

Buonasera, dopo la pulizia dei denti e a seguito di diverse gengiviti che hanno dato il via a un inizio di paradontite che è stata fermata, mi si è creato un minuscolo spazio tra i due incisivi centrali superiori, dico minuscolo in quanto è talmente piccolo che spesso non si individua in quanto "riempito" da un velo

Leggi tutto

Ho un diastema di circa 2 mm tra gli incisivi centrali dell'arcata superiore

Ho 19 anni e mezzo esatti. Ho un diastema di circa 2 mm tra gli incisivi centrali dell'arcata superiore poichè fino a dieci anni mi succhiavo ancora il dito. Ho sempre voluto mettermi l'apparecchio da piccolo (12-13 anni) ma i miei genitori non potevano sostenermi economicamente nel mettermi l'apparecchio. Ho sempre detestato il mio sorriso

Leggi tutto

Grazie mille a tutti voi per i vostri preziosissimi pareri!

Grazie mille a tutti voi per i vostri preziosissimi pareri! Sono stata da un ultimo specialista dove mi hanno spiegato più dettagliatamente il mio problema. Per progettare l’apparecchio ortodontico è indispensabile effettuare prioritariamente un “tracciato cefalometrico”. Come mi avete anche voi segnalato, non

Leggi tutto

Ci sono software o apparecchiatura che possano mostrarmi come sarebbe il risultato finale?

Salve a tutti, sono una ragazza di 31 anni, non ho mai avuto particolare problemi a vedermi con un diastema (3 mm) tra gli incisivi superiori, ma spesso, penso a come potrei stare senza e se questo non avesse ripercussioni sulla salute e sulla funzionalità dentaria penserei seriamente di farlo. So anche che probabilmente la mia dentatura

Leggi tutto

Nell'arcata superiore ho un diastema di 4 mm e in quella inferiore di 6,5 mm

Cari dottori buongiorno. Ho due diastemi. Sono una ragazza di 25 anni, purtroppo i miei genitori non si sono preoccupati abbastanza del mio problema quando ero una ragazzina. Nell'arcata superiore ho un diastema di 4 mm e in quella inferiore di 6,5 mm. In poche parole, il mio problema, come potete notare nella foto, non è solo

Leggi tutto

Ho 22 anni e un diastema fra gli incisivi superiori di circa 2 mm

Gentili dottori, vorrei un consiglio su un problema che ormai mi porto dietro da anni. Premetto che fra circa un mese ho un appuntamento dall'ortodontista che lavora presso lo studio del mio dentista ma visto che non l'ho mai visto prima e non so quale parere potrà darmi, nell'attesa sarebbe importante per me avere un parere da voi. Io ho

Leggi tutto

Dalla nascita sono sprovvisto dei due incisivi laterali dell'arcata superiore

Salve. Dalla nascita sono sprovvisto dei due incisivi laterali dell'arcata superiore. Inoltre da che ricordo c'è sempre stato uno spazio tra i due unici incisivi, tra gli incisivi e i canini e tra i canini e i premolari. Inoltre con la lingua riesco a sentire nettamente uno spazio tra il premolare e il molare destro. Vorrei sapere la

Leggi tutto