Menu

Lembo bilaminare bipapillare.

Riposizionamento coronale della gengiva.

Lembo bilaminare bipapillare. by Dott. Dario Cianci 16-03-2010 7517 visualizzazioni
In questo caso si può notare come a fronte di una recessione gengivale sia possibile con un intervento estremamente delicato riportare la gengiva in posizione corretta.


Scritto da Dott. Dario Cianci
Lodi (LO)
Paullo (MI)

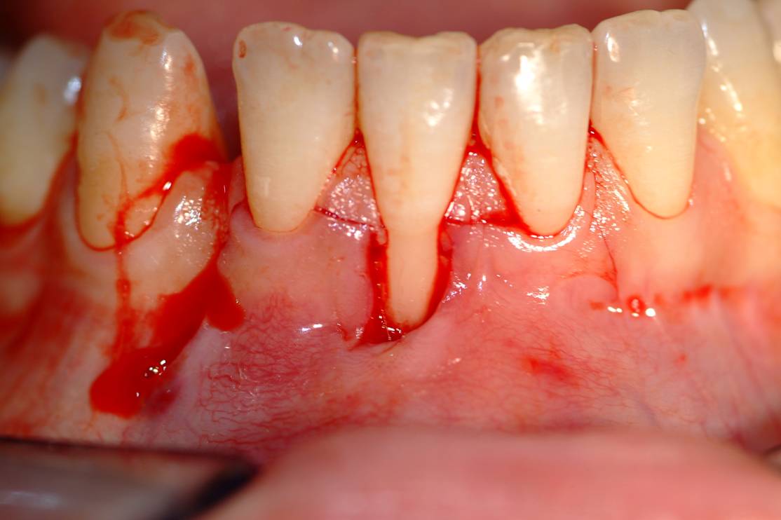
Situazione iniziale
Disegno del lembo.
Prelievo dal palato
Sutura
Una settimana dopo l'intervento.
Sei mesi dopo l'intervento.

TAG: Lembo bilaminare bipapillare.