Ortodonzia Malocclusioni
by
Studio Odontoiatrico Associato Dr. M. Iancu P. e Dott.ssa L. Marchione
18-04-2016
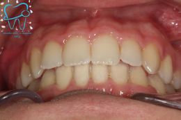
1982 visualizzazioni Una paziente di 12 anni si presenta alla nostra osservazione con una malocclusione in arcata superiore ed inferiore. La situazione appare complicata, oltre che da un affollamento notevole in arcata superiore, dalla agenesia dell'elemento 4.5 e con il 3.6 molto distrutto e difficilmente recuperabile per il futuro in maniera pervedibile. Si decide a questo punto per un trattamento ortodontico fisso con il movimento mesiale degli elementi posteriori e la chiusura degli spazi solo con denti sani e pienamente funzionanti ed evitare successivamente costosi procedimenti protesici.


-copia.jpg)
.jpg)
.jpg)
.jpg)
.jpg)
.jpg)
.jpg)
.jpg)
.jpg)
.jpg)
.jpg)
.jpg)
.jpg)
.jpg)
.jpg)
.jpg)
.jpg)
.jpg)
.jpg)
.jpg)
.jpg)

Dentista Lombardia, Milano
Vedi la scheda
Dentista Emilia Romagna, Bologna
Vedi la scheda
Dentista Marche, Ancona
Vedi la scheda
Dentista Abruzzo, Chieti
Vedi la scheda
Dentista Campania, Napoli
Vedi la scheda