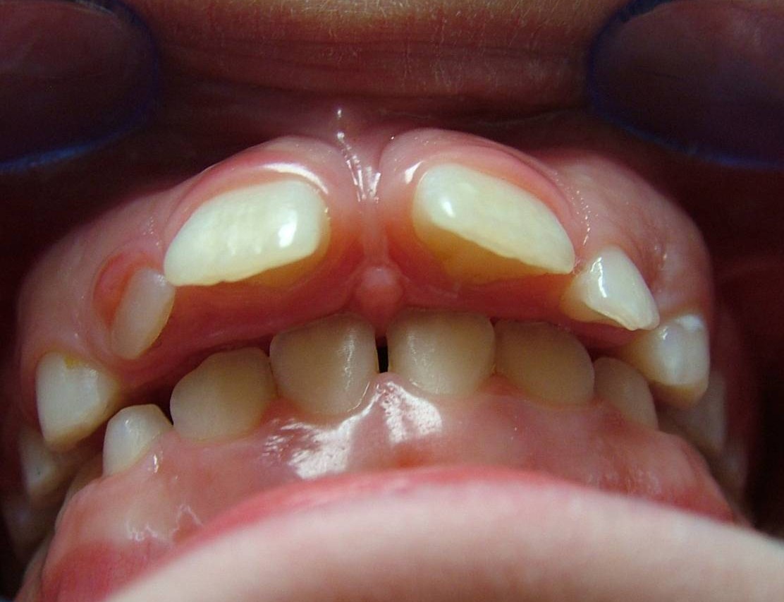
Piccola paziente con molte abitudini disfunzionali, con morso profondo al limite di danno parodontale da trauma sul gruppo frontale superiore fortemente vestiboloinclinato. Terapia proposta: intercezione delle abitudini disfunzionali con t4k e motivazione.
Le notevoli possibilita' dell'elastodonzia caso 4
Caso intercettivo con elastoposizionatori
enorme miglioramento .
Elimminazione del trauma occlusale riduzione immediata dellavestiboloversione incisale buon andamento generale della terapia intercettiva
TAG: Le notevoli possibilita dell'elastodonzia caso 4













Dentista Lombardia, Pavia
Vedi la scheda
Dentista Emilia Romagna, Parma
Vedi la scheda
Dentista Lazio, Roma
Vedi la scheda
Dentista Trentino Alto Adige, Trento
Vedi la scheda
Dentista Piemonte, Torino
Vedi la scheda