Menu

3^ classe con 4EX

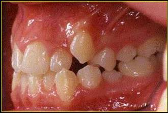
In questo caso stata effettuata una terapia ortodontica fissa e 4 estrazioni per risolvere una malocclusione ed un affollamento grave.

3^ classe con 4EX by Dott. Paolo Manzo 07-03-2008 4061 visualizzazioni


Scritto da Dott. Paolo Manzo
Frattamaggiore (NA)

Prima
Dopo
Prima
Dopo
Prima
Dopo
Prima
Dopo
Prima
Dopo

TAG: 3^ classe con 4EX