Menu

2^ classe senza estrazioni

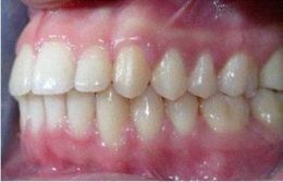
In questo caso stata effettuata una terapia ortodontica fissa per risolvere una malocclusione con affollamento senza effettuare estrazioni.

2^ classe senza estrazioni by Dott. Paolo Manzo 07-03-2008 5107 visualizzazioni


Scritto da Dott. Paolo Manzo
Frattamaggiore (NA)

Prima
Dopo
Prima
Dopo
Prima
Dopo
Prima
Dopo
Prima
Dopo

TAG: 2^ classe senza estrazioni