Ortodonzia
by
Studio Odontoiatrico Associato Dr. M. Iancu P. e Dott.ssa L. Marchione
09-10-2008
6237 visualizzazioni
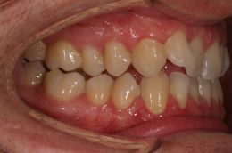
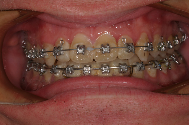
Trattamento fisso a bassa frizione autolegante in soggetto con deglutizione atipica,iperdivergente, contrazione della arcata superiore,affollamento superiore ed inferiore. Il caso e' stato portato a termine in 19 mesi - da ottobre 2006 a luglio 2008 - vengono mostrate anche le foto dopo 3 mesi dal debonding. Caso molto stabile nonstante la problematica funzionale.




Dentista Puglia, Barletta Andria Trani
Vedi la scheda
Dentista Campania, Benevento
Vedi la scheda
Dentista Piemonte, Torino
Vedi la scheda
Dentista Puglia, Bari
Vedi la scheda
Dentista Abruzzo, Teramo
Vedi la scheda