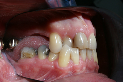
Caso ortodontico trattato con apparecchio Invisalign per riabilitazione preprotesica. Paziente di sesso maschile, età 42 anni, ha portato le mascherine nella fase attiva per un anno e successivamente preparato per impianti.
Caso ortodontico trattato con apparecchio Invisalign per riabilitazione preprotesica
Paziente di sesso maschile, età 42 anni, ha portato le mascherine nella fase attiva per un anno e successivamente preparato per impianti.
TAG: Dott. Edmondo Spagnoli















Dentista Piemonte, Torino
Vedi la scheda
Dentista Sicilia, Catania
Vedi la scheda
Dentista Piemonte, Torino
Vedi la scheda
Dentista Marche, Ascoli Piceno
Vedi la scheda
Dentista Lazio, Frosinone
Vedi la scheda