Ortodonzia
by
Dott. Gianfranco Paolini
23-02-2011
4576 visualizzazioni
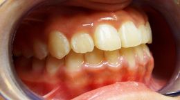
Soggetto asiatico con morso inverso anteriore completo.
Crescita scheletrica tendente alla terza. Impossibilita di determinare il carico genetico del problema.
Scritto da Dott. Gianfranco Paolini
Milano (MI)
finalmente la paziente comincia il trattamento intercettivocon il damon 4 x 2
inserimento e funzionalizzazione di 4x 2
le molle open coil agiscono sviluppando il mascellare superiore e correggendo il rapporto di classe dentale ,lentamente e dolcemente ,le forze leggere continue possono correggere il problema iniziale che altrimenti avrebbe preso il sopravento nella crescita della bimba .
corretto il crossbite si partecipa alla corezione dentale lentamente e dolcemente.
il caso e' rappresentato in presa diretta e prossimamente postero altre diapositive
Dentista Sardegna, Cagliari
Vedi la scheda
Dentista Lombardia, Pavia
Vedi la scheda
Dentista Sardegna, Carbonia Iglesias
Vedi la scheda
Dentista Lombardia, Milano
Vedi la scheda
Dentista Puglia, Taranto
Vedi la scheda