Ortodonzia
by
Studio Odontoiatrico Associato Dr. M. Iancu P. e Dott.ssa L. Marchione
11-07-2008
7412 visualizzazioni
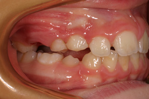
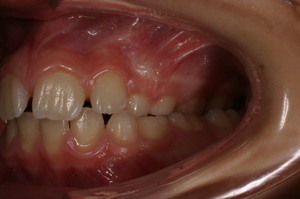
.... Spontaneo riposizionamento dei molari permanenti! Dopo 8 mesi viene tolto il REP! Contenzione con dispositivo elastodontico che guida in eruzione i denti permanenti! Durata: 24 Mesi Inizio Aprile 2006 - Fine Aprile 2008 A fine terapia si cerchera' di evitare un trattamento ortodontico fisso, se cio' sará possibile, finalizzando il caso con un positioner individualizzato!



Dentista Toscana, Lucca
Vedi la scheda
Dentista Emilia Romagna, Bologna
Vedi la scheda
Dentista Calabria, Vibo Valentia
Vedi la scheda
Dentista Sicilia, Enna
Vedi la scheda
Dentista Lombardia, Milano
Vedi la scheda