Il caso giunto alla nostra osservazione è di un bambino con un grave affolamento in arcate superiore ed inferiore, con la presenza di recessione nel settore anteriore inferiore sul 3.1.
Secondo il nostro parere è impossibile il recupero di un affollamento così grave ( inferiormente almeno 16 mm) neanche con le più moderne tecniche ortodontiche ( Damon o quant'altro) senza creare danni al parodonto in età più matura.
Terapia:
1) Espansione arcata superiore per recupero degli incisivi laterali in posizione corretta
2) Estrazione 7.4 e 8.4
2) Germectomia 3.4 e 4.4
3) Germectomia 1.4 e 2.4
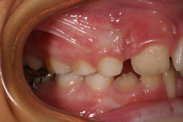
Notare la situazione attuale con i canini inferiori in eruzione ed i superiori erotti con gli spazi quasi completamente chiusi.
Caso condotto in collaborazione con la Dott.ssa Laura Marchione.


.jpg)

Dentista Lombardia, Milano
Vedi la scheda
Dentista Lazio, Roma
Vedi la scheda
Dentista Lombardia, Brescia
Vedi la scheda
Dentista Emilia Romagna, Bologna
Vedi la scheda
Dentista Emilia Romagna, Rimini
Vedi la scheda