Menu

Trattamento ortodontico di una grave II Classe

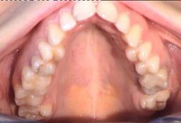
Trattamento ortodontico di una grave II Classe, paziente di sesso femminile di Età 23 anni

Trattamento ortodontico di una grave II Classe by Dott. Edmondo Spagnoli 09-11-2010 7065 visualizzazioni
Trattamento ortodontico di una grave II Classe, paziente di sesso femminile di Età 23 anni.

Durata del trattamento circa due anni.


Scritto da Dott. Edmondo Spagnoli
Lecco (LC)

Foto iniziali
 
 
 
 
 
 
 
 
Foto finali
 
 
 
 
 
 
 
 

TAG: grave II Classe