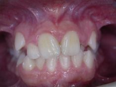
Spesso durante la fase di crescita possiamo notare nei ragazzi un disallineamento dei denti che può essere più o meno severo. In questi casi è possibile intervenire intercettando il problema attraverso una diagnosi corretta e risolverlo con l'utilizzo di un apparecchio ortodontico fisso. In questo caso vediamo una giovane paziente che presentava un grave disallineamento dentale risolto nell'arco di 21 mesi.
L'ortodonzia nei ragazzi
Grave affollamento dentale superiore e inferiore
TAG: L'ortodonzia nei ragazzi











Dentista Veneto, Vicenza
Vedi la scheda
Dentista Marche, Ascoli Piceno
Vedi la scheda
Dentista Calabria, Cosenza
Vedi la scheda
Dentista Emilia Romagna, Bologna
Vedi la scheda
Dentista Lombardia, Milano
Vedi la scheda