Ortodonzia
by
Studio Odontoiatrico Associato Dr. M. Iancu P. e Dott.ssa L. Marchione
07-11-2009
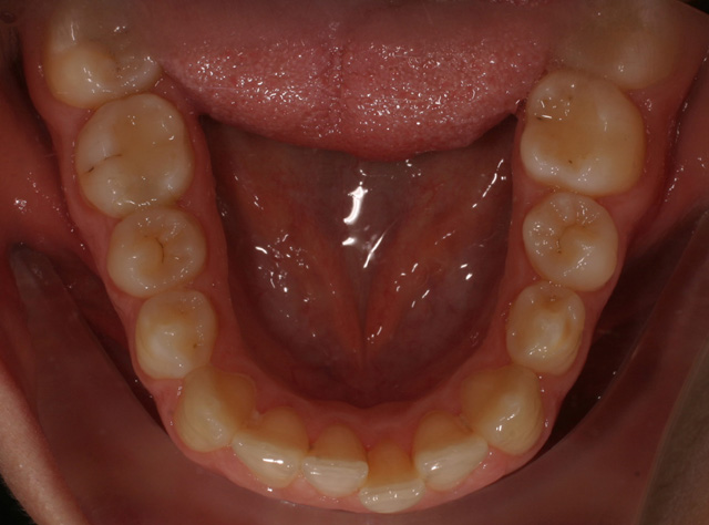
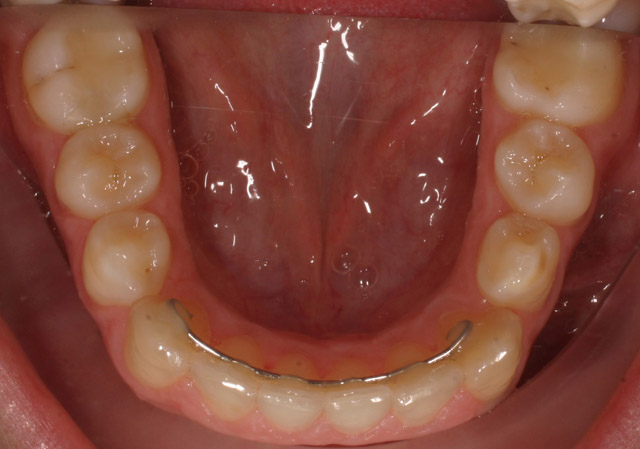
4035 visualizzazioni Trattamento eseguito con tecnica linguale 2D della RMO in un lasso di tempo molto breve, in paziente adulta con grandi esigenze estetiche.
Al fine di allineare gli elementi dentari si è ricorso allo stripping selettivo nel settore incisivo con una contenzione funale con retainer fisso; durata del trattamento da febbraio 2009 con debonding a ottobre 2009 ( 8 mesi ).




Dentista Friuli Venezia Giulia, Trieste
Vedi la scheda
Dentista Campania, Benevento
Vedi la scheda
Dentista Lombardia, Varese
Vedi la scheda
Dentista Veneto, Padova
Vedi la scheda
Dentista Marche, Fermo
Vedi la scheda