Menu

Damon il sistema ortodontico meraviglioso .

Caso trattato con tecnica damon - Questo sistema rende possibile quello che fino a poco tempo fa' si riteneva impossibile...

Damon il sistema ortodontico meraviglioso . by Dott. Gianfranco Paolini 21-02-2009 18813 visualizzazioni
Questo caso viene presentato in diretta montato circa tre mesi fa seguiranno immagini ogni due mesi .

 

Questo potrebbe essere il modo migliore per i professionisti di confrontarsi sulle varie teccniche ortodontice, based evidence.

 

 



Scritto da Dott. Gianfranco Paolini
Milano (MI)

Grazie Damon very nice
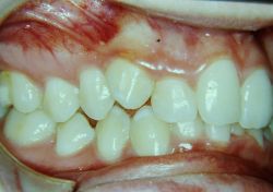
grave affollamento in paziente biretrusa
 
 
AL PRIMO APPUNTAMENTO
allineamento livellamento
dopo solo sette mesi
il caso e quasi concluso a meno di un anno dal suo inizio
 
fine del caso .
dopo circa dieci mesi
 
 
Grazie Damon very nice

TAG: Damon il sistema ortodontico meraviglioso