Menu

Sorrisi

Tutto inizia da un sorriso i miei sorrisi piu' belli in questi primi vent'anni di attivita'

Sorrisi by Dott. Gianfranco Paolini 21-02-2009 3613 visualizzazioni

5



Scritto da Dott. Gianfranco Paolini
Milano (MI)

 
 
 
 
 
 
 
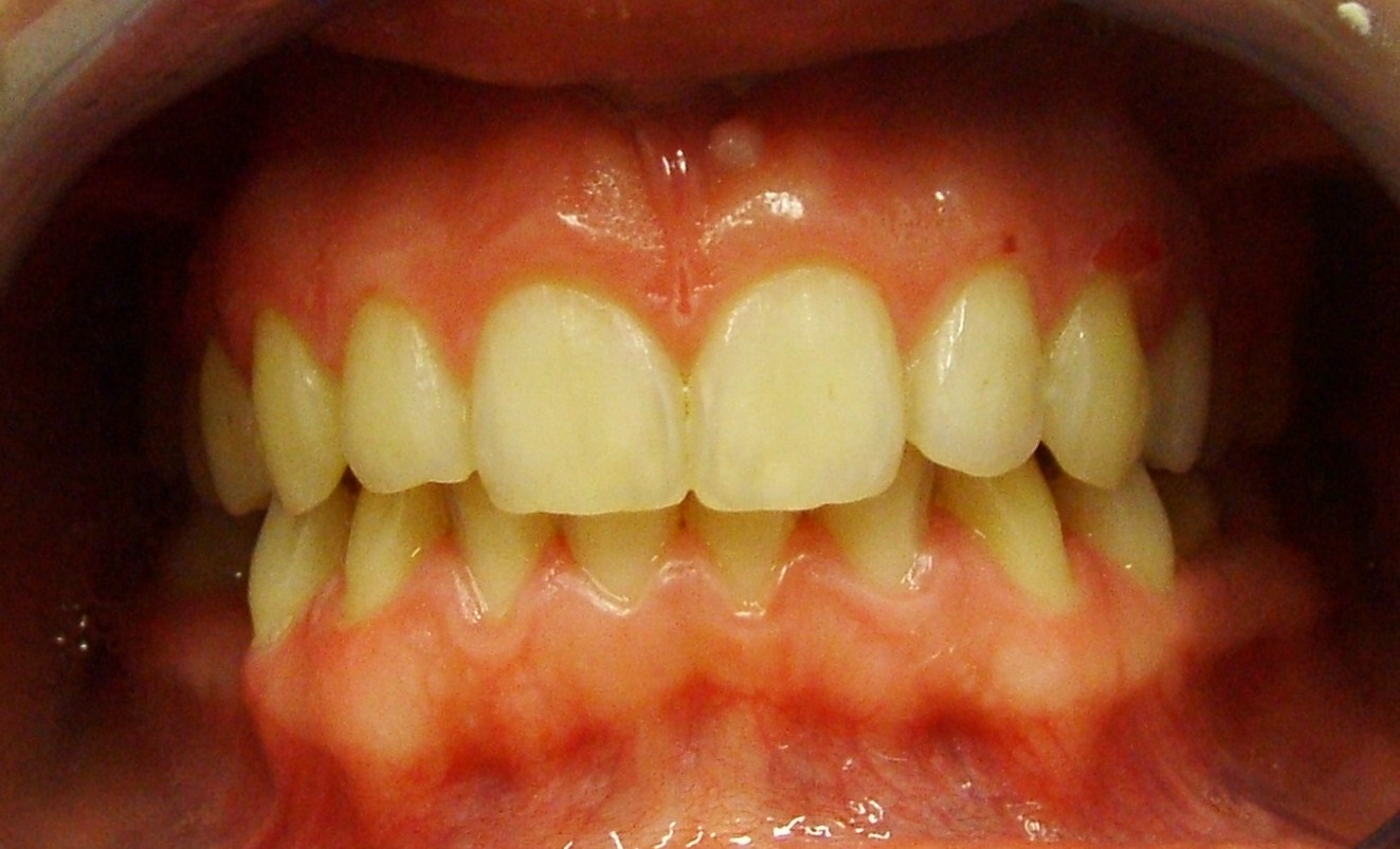
questo sorriso mi piace moltissimo
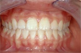
solo foto finali di casi trattati in questi 20 anni di attivita ,che mi rendono particolarmente felice
gioia e vitalita originano da un bel sorriso
nell'adulto i restauri precedenti pongono purtroppo dei limiti se non possono essere rieseguiti
 
diresti che questo e' un caso estrattivo ???
attenuto con il solo esclusivo uso di elastodonzia
 
 
 
 
 
 
 
 
 
 
sorriso attraente
sorriso nervoso

TAG: Sorrisi