Menu

Sbiancamento denti necrotici

Sbiancamento di denti necrotici

Sbiancamento denti necrotici by Dott. Maurizio Mazzella 28-02-2011 3985 visualizzazioni
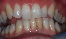
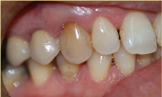
Si presentano casi di sbiancamento di denti necrotici, per traumi avuti o per necrosi atipiche.


Scritto da Dott. Maurizio Mazzella
Melito di Napoli (NA)

immagine 1 prima del trattamento
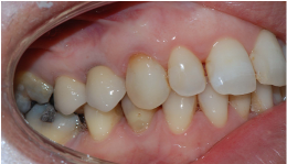
immagine 2 dopo il trattamento
denti necrotici
dente necrotico dopo
Necrosi dentaria prima
necrosi dentale dopo
necrosi dentale prima
necrosi dentale dopo
Prima
Dopo

TAG: sbiancamento denti necrotici