La semplice igiene permette di ottenere un miglioramento della salute dei tessuti gengivali, con una riduzione del sanguinamento ed un miglioramento nell' aspetto del sorriso. Previene inoltre la comparsa di alitosi dovuta alla presenza di placca tartaro e flogosi a livello dei tessuti gengivali.
Igiene come prevenzione
La semplice igiene permette di ottenere un miglioramento della salute dei tessuti gengivali
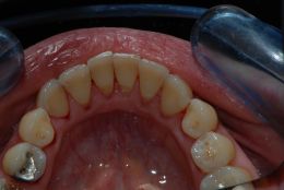
E' ben visibile l'infiammazione gengivale e l'accumulo di tartaro pigmentato da nicotina nella visione linguale.
TAG: Igiene come prevenzione



Dentista Sardegna, Cagliari
Vedi la scheda
Dentista Piemonte, Alessandria
Vedi la scheda
Dentista Puglia, Foggia
Vedi la scheda
Dentista Basilicata, Matera
Vedi la scheda
Dentista Liguria, La Spezia
Vedi la scheda