Denti e bellezza, Filler | Casi Clinici
Indice Casi Clinici in Denti e bellezza - Risultati trovati: 71
Miglioramento dell'estetica del settore anteriore superiore
Miglioramento rapido dell'estetica anteriore con sbiancamento e corona in ceramica integrale.
Leggi tuttoSbiancamento Estetico
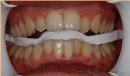
Sbiancamento di denti vitali
Leggi tuttoFaccette estetiche ultrasottili dopo terapia Invisalign a paziente bruxista.
Bruxismo e diastema - terapia ortodontica con la tecnica Invisalign - faccette Lumineers
Leggi tuttoRicostruzione estetica totale diretta
Ricostruzione estetica totale diretta
Leggi tuttoSbiancamento di un dente non vitale a valenza estetica
Fattore determinante nello sbiancamento di denti non vitali è sigillare l'imbocco canalare
Leggi tuttoSbiancamento dentale
La sequenza di foto mostra una procedura di sbiancamento dentale nelle sue fasi principali.
Leggi tuttoLa bulimia e l'usura dentale: un caso clinico
Problematiche estetiche e funzionali legate alla bulimia.
Leggi tuttoOtturazioni Estetiche - Ceramica Integrale
Otturazioni Estetiche - Ceramica Integrale
Leggi tuttoOtturazioni Estetiche - Sostituzione estetica di una otturazione
Otturazioni Estetiche - Sostituzione estetica di una otturazione
Leggi tutto


Dentista Liguria, Savona
Vedi la scheda
Dentista Marche, Pesaro Urbino
Vedi la scheda
Dentista Liguria, Imperia
Vedi la scheda
Dentista Marche, Fermo
Vedi la scheda
Dentista Piemonte, Torino
Vedi la scheda