La bulimia è un disturbo del comportamento alimentare, spesso di origine nervosa e psicologica, per cui una persona ingurgita una quantità di cibo esorbitante per poi ricorrere a diversi metodi per riuscire a non metabolizzarlo e quindi ingrassare (vomito autoindotto, utilizzo di lassativi e purghe). Si manifesta in genere nell’adolescenza e colpisce principalmente il sesso femminile, si stima che in USA che il 2-3% delle giovani sia affetto da questo disturbo.
Di solito le persone affette sono ossessionate dalla linea, ma al contrario degli anoressici mantengono un peso entro i limiti della normalità a causa dell’alternarsi di pasti smodati e ridotti. L’erosione dello smalto e l’abrasione del dorso delle mani (causato dalla ripetuta introduzione delle dita in gola) sono indicatori comuni della tendenza a provocarsi il vomito, per cui spesso è il dentista il primo professionista ad accorgersi del disturbo. Lo smalto è il tessuto più esterno e resistente dei denti e funge da protezione della dentina che è invece la parte più interna,debole e sensibile.
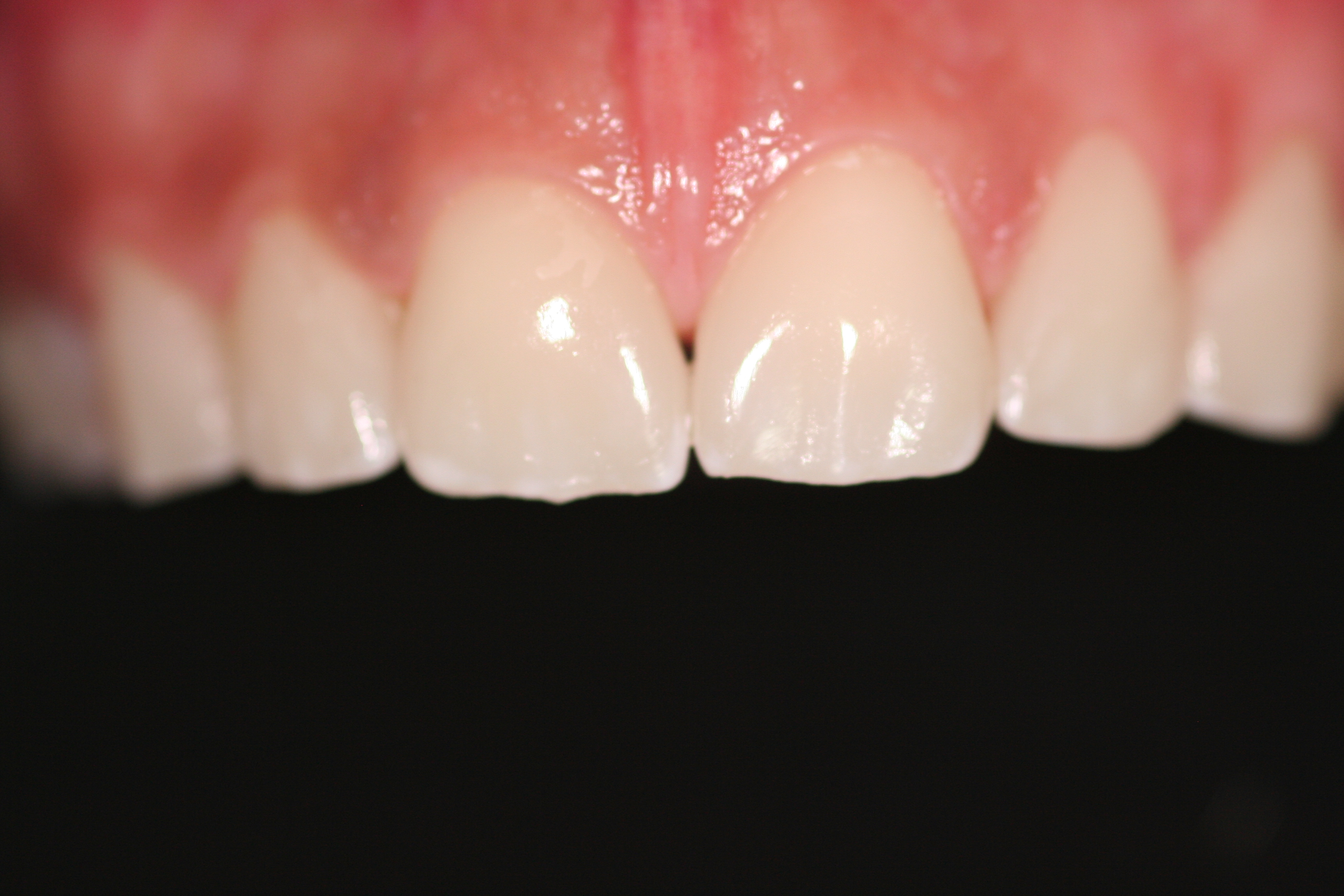
L’erosione si manifesta con delle cavità e nella generalizzata usura delle superfici e degli angoli dei denti, che assumono un colore più giallastro e diventano più deboli e sensibili. Data la giovane età di queste pazienti e il danno evidente causato, diventa fondamentale il ripristino della funzione estetica dell’apparato del sorriso che è un aspetto importante anche a livello psicologico,visto che influisce molto sulla percezione che si ha di se e gioca un ruolo significativo nelle relazioni interpersonali.
Il trattamento più adatto in questi casi sono le faccette, cioè dei sottili manufatti in ceramica di laboratorio (0,4-0,6mm) che sostituiscono la parte mancante del dente mimandone in modo del tutto naturale il colore e la forma originale.
Queste sono indicate anche su denti sani con problemi estetici quali:
- discromie = macchie permanenti che non si possono eliminare con lo sbiancamento
- diastemi = spazi fra i denti. Questi vengono mascherati realizzando delle faccette leggermente più grandi del dente naturale
- denti con anomalia di forma (es.conoidi)
- difetti dello smalto (fluorosi e amelogenesi imperfetta)
- disallineamenti.
Questa soluzione oltre ad essere molto conservativa, perché permette di mantenere il tessuto sano,è duratura nel tempo in quanto la ceramica ha una notevole durezza e resistenza all’abrasione.









Dentista Sicilia, Messina
Vedi la scheda
Dentista Emilia Romagna, Bologna
Vedi la scheda
Dentista Emilia Romagna, Modena
Vedi la scheda
Dentista Emilia Romagna, Bologna
Vedi la scheda
Dentista Lazio, Roma
Vedi la scheda