Menu

Sbiancamento Estetico

Sbiancamento di denti vitali

Sbiancamento Estetico by Dott. Maurizio Mazzella 01-03-2011 4594 visualizzazioni
Sbiancamento di denti vitali in pazienti che vogliono migliorare la loro tonalità di colore


Scritto da Dott. Maurizio Mazzella
Melito di Napoli (NA)

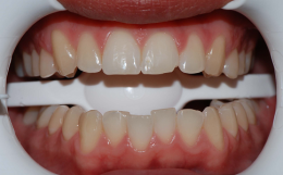
Prima
Dopo
prima
dopo
prima
dopo
prima
dopo
Discromie dentali prima
discromie dentali dopo
Sbiancamento estetico prima
Sbiancamento estetico dopo
Sbiancamento estetico prima
Sbiancamento estetico dopo
Discromie dentali
Discromie dentali dopo
Prima
Dopo
Prima
Dopo
Prima
Dopo
Prima
Dopo

TAG: sbiancamento estetico