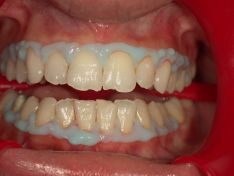
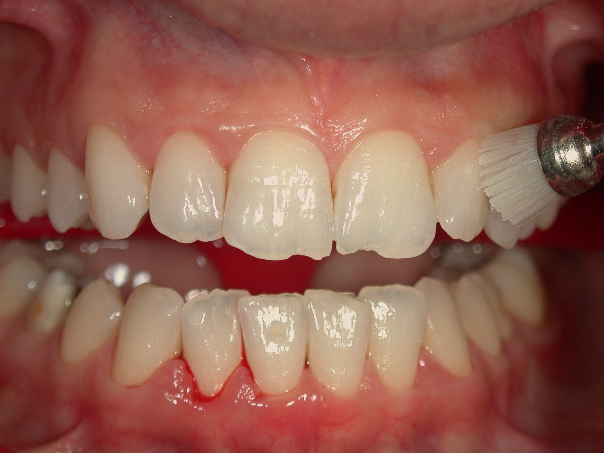
La paziente si era rivolta a noi con la richiesta di migliorare l'aspetto dei suoi denti. In effetti i denti mostravano una patina giallastra dura. La paziente non aveva fatto trattamento ortodontico fisso pertanto non poteva trattarsi di composito per fissaggio delle piastrine. E' stata eseguita dapprima una seduta di igiene orale professionale associata ad un accurato spazzolamento. Questa ultima fase permette di poter fare agire il prodotto sbiancante direttamente a contatto con la superficie dei denti. Successivamente è stato applicato un prodotto sbiancante in gel a base di perossido di idrogeno. Il prodotto ha sbiancato i denti e ha anche determinato una alterazione cromatica delle gengive reversibile in poche ore. Il risultato ottenuto è mantenibile fino ad un anno se non ci sono abitudini sfavorevoli del paziente (fumo, caffé, the, liquirizia, vino rosso...).
Sbiancamento dentale
La sequenza di foto mostra una procedura di sbiancamento dentale nelle sue fasi principali.
TAG: Sbiancamento dentale



Dentista Molise, Campobasso
Vedi la scheda
Dentista Campania, Salerno
Vedi la scheda
Dentista Trentino Alto Adige, Trento
Vedi la scheda
Dentista Sardegna, Sassari
Vedi la scheda
Dentista Emilia Romagna, Rimini
Vedi la scheda