Se da un lato i sistemi di contenzione, con cui si mantiene stabile il risultato dopo il trattamento, se mobili, cioè applicati dal paziente per lo più di notte, non comportano impedimenti allo svolgimento delle comuni manovre di igiene orale, dall’altro essi richiedono una collaborazione attiva del paziente, viceversa le contenzioni incollate (in genere dal lato linguale) non necessitano di cooperazione da parte del paziente, ma possono rendere difficoltoso il mantenimento di una buona igiene orale e, in alcuni casi, possono risultare poco gradevoli dal punto di vista estetico.
Alla luce di tali considerazioni, l’introduzione delle fibre di vetro rinforzate in composito (FRC) risulta di notevole ausilio proprio nel ridurre gli svantaggi connessi ai mantenitori fissi tradizionali consentendo di realizzare un sistema di contenzione invisibile. Inoltre, la superficie liscia e continua e lo spessore ridotto delle fibre creano una condizione di minore discomfort per il paziente quando applicate dal lato linguale. Queste fibre di vetro possono essere utilizzate anche per creare degli ancoraggi tra denti che non si vuole che si spostino rispetto ad altri che invece devono esser mossi.
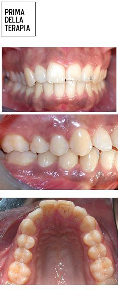
Nel caso qui illustrato la paziente aveva effettuato un trattamento ortodontico alcuni anni prima presso il suo dentista e portava ancora una contenzione incollata all’arcata inferiore. In seguito ad un trauma della strada la paziente aveva subito la frattura dell’incisivo centrale superiore di sinistra che aveva provato a farsi ricostruire più volte.
Tuttavia, data la tipologia di restauro da effettuare, molto soggetto a distacco e di difficile integrazione, la paziente avrebbe dovuto effettuare una faccetta protesica per ripristinare l’estetica.
In alternativa a ciò è stato proposto ed accettato dalla paziente di effettuare un trattamento ortodontico per spostare verticalmente (come indicato dalla freccia) il dente fratturato e contemporaneamente di risolvere il lieve affollamento all’arcata superiore.
Come si vede dalle immagini sono stati incollati degli attacchi auto leganti (cioè che non prevedono l’uso di legature) a bassa frizione solo nel settore anteriore superiore e all’interno (dal lato palatale) gli altri denti dell’arcata superiore, che non si voleva far muovere perché in buona occlusione con gli inferiori, sono stati ancorati con delle fibre di vetro.
Al termine del trattamento ortodontico, che ha avuto una durata totale di 4 mesi, la paziente ha conseguito il risultato di livellare i 2 incisivi superiori e ripristinare l’estetica senza effettuare restauri in composito da dover periodicamente rinnovare, né faccette protesiche. E’ stato inoltre risolto l’affollamento all’arcata superiore. Pertanto le richieste della paziente hanno trovato pieno riscontro nel trattamento ortodontico che ha effettuato e nel tempo impiegato.


Dott. Paolo Manzo
www.dentista-napoli.it




Dentista Emilia Romagna, Reggio Emilia
Vedi la scheda
Dentista Toscana, Siena
Vedi la scheda
Dentista Sicilia, Siracusa
Vedi la scheda
Dentista Veneto, Padova
Vedi la scheda
Dentista Sicilia, Siracusa
Vedi la scheda