Parodontologia
by
Studio Odontoiatrico Associato Dr. M. Iancu P. e Dott.ssa L. Marchione
01-02-2011
9824 visualizzazioni
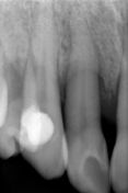
Il trattamento è stato eseguito su una paziente di sesso femminile con una grave mobilita di III grado di un 1.2 (incisivo laterale). Purtroppo la paziente fumatrice ha avuto un aggravamento della situazione nel corso degli anni, anche dopo curettaggi a cielo copero e scoperto.
In collaborazione con la Dott.ssa Laura Marchione siamo intervenuti con un innesto di osso eterologo ( Osteo-Biol) Gen-Oss mischiato con Gel 40 e ricoprendo l'innesto con una membrana riassorbibile della Osteo-Biol. Notate il risultato ed il recuprero della profonda tasca a 4 e poi a 9 mesi. Il risultato è ottimale e la mobiltà scomparsa. Non so quanto durerà, la paziente è ancora una fumatrice convinta!
In collaborazione con la Dott.ssa Laura Marchione siamo intervenuti con un innesto di osso eterologo ( Osteo-Biol) Gen-Oss mischiato con Gel 40 e ricoprendo l'innesto con una membrana riassorbibile della Osteo-Biol. Notate il risultato ed il recuprero della profonda tasca a 4 e poi a 9 mesi. Il risultato è ottimale e la mobiltà scomparsa. Non so quanto durerà, la paziente è ancora una fumatrice convinta!


.jpg)
.jpg)


.jpg)
.jpg)

Dentista Sicilia, Palermo
Vedi la scheda
Dentista Trentino Alto Adige, Trento
Vedi la scheda
Dentista Emilia Romagna, Reggio Emilia
Vedi la scheda
Dentista Sicilia, Messina
Vedi la scheda
Dentista Puglia, Taranto
Vedi la scheda