Giovane donna con situazione antiestetica dell’incisivo centrale superiore di sinistra. Anche altri due incisivi necessitavano di cure. Ho deciso di proporre la corona integrale dell’incisivo centrale superiore di sinistra e le faccette dei 2 rimanenti, cioè il centrale di destra e il laterale di sinistra. Resta invece non trattato l'incisivo laterale destro che è in salute. Alla rimozione della corona del 21 è seguita la bonifica parodontale. Osservare lo stato della gengiva prima della rimozione e dopo l’allontanamento della corona che creava una infiltrazione, causa di ristagno batterico e quindi di infiammazione. Il margine gengivale dopo la bonifica è stato posto fuori dal solco gengivale rendendo facilmente gestibile l’igiene quotidiana. L’immagine a "buccia d’arancia" indica lo stato di salute gengivale raggiunta e mantenuta nel tempo dopo la bonifica. Notare l'estetica dei 3 elementi trattati con faccette e corona e la presenza dell'incisivo laterale destro che si mimetizza con il lavoro protesico.
Faccette e Parodontologia: incisivo centrale con gengivite da corona in metal-ceramica
Caso parodontale risolto con la sostituzione della corona in metal-ceramica con una corona integrale.
Situazione iniziale con gengivite marginale dell'incisivo centrale superiore sinistro ricoperto con una capsula in metal-ceramica
Visione da destra: anche l'incisivo centrale superiore destro presenta una ricostruzione antiestetica. Anch'esso verrà ricoperto con una faccetta, mentre resta naturale e non verrà trattato l'incisivo laterale destro.
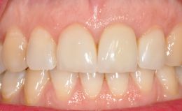
Controllo ad un anno delle 3 ricostruzioni: faccette dell'incisivo centrale superiore destro e dell'incisivo laterale superiore sinistro. Corona integrale dell'incisivo centrale superiore sinistro.
Notare come si confonde l'incisivo laterale destro che è rimasto naturale, con le ricostruzioni in ceramica degli altri 3 denti centrali.
Corona in ceramica integrale dell'incisivo centrale sinistro dopo un anno dalla sostituzione di quella in metal-ceramica.
TAG: Faccette e Parodontologia: incisivo centrale con g



Dentista Lazio, Roma
Vedi la scheda
Dentista Puglia, Barletta Andria Trani
Vedi la scheda
Dentista Abruzzo, L'Aquila
Vedi la scheda
Dentista Piemonte, Torino
Vedi la scheda
Dentista Puglia, Brindisi
Vedi la scheda