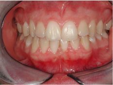
In questo caso, una giovane paziente presentava una recessione sull'incisivo centrale inferiore di sinistra. La recessione, verticale e profonada raggiungeva la linea mucogengivale.
In questa paziente abbiamo utilizzato una tecnica con un lembo bilaminare e prelievo di connettivo dal palato.
Il risultato e' stato ottimo anche grazie alla paziente che ha collaborato e seguito tutte le nostre indicazioni.








Dentista Lombardia, Brescia
Vedi la scheda
Dentista Calabria, Cosenza
Vedi la scheda
Dentista Lombardia, Bergamo
Vedi la scheda
Dentista Lombardia, Monza e Brianza
Vedi la scheda
Dentista Emilia Romagna, Modena
Vedi la scheda