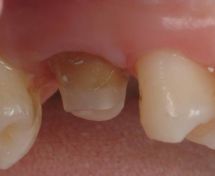
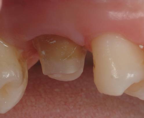
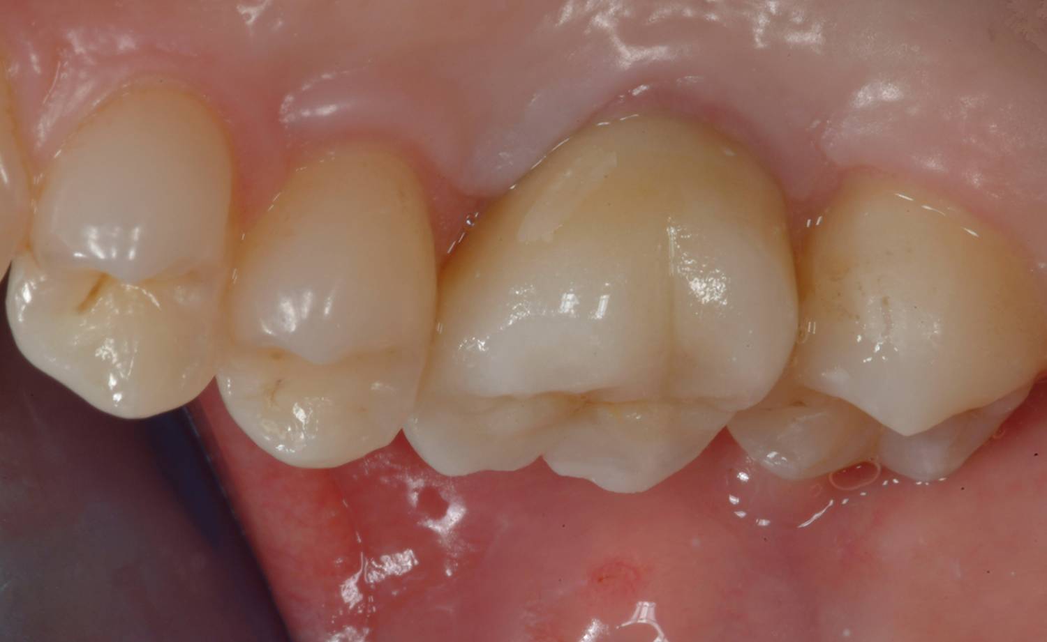
Paziente di età 20 anni. Si presenta in studio per la frattura coronale dell'elemento 1.6 già precedentemente trattato da altro collega. Si decide per il recupero conservativo di tale elemento dentario nonostante la frattura si spinga molto vicino alla forca mesiale. Si valuta inoltre di ritrattare l'elemento dentario visto la precedente cura canalare incongrua.


























Dentista Lazio, Roma
Vedi la scheda
Dentista Campania, Napoli
Vedi la scheda
Dentista Emilia Romagna, Rimini
Vedi la scheda
Dentista Sicilia, Siracusa
Vedi la scheda
Dentista Emilia Romagna, Rimini
Vedi la scheda