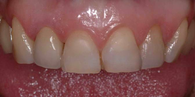
Protesi estetica - II° Caso clinico
2 caso clinico, Faccette in Ceramica e Protesi fissa senza metalli: Zirconia-Ceramica (ossido di zirconio) - Allumina Ceramica - Disilicato di Litio (Pressate)
TAG: Protesi estetica - II° Caso clinico
TAG: Protesi estetica - II° Caso clinico
Ricerca fra tutte le regioni Trova il dentista
Dentista Friuli Venezia Giulia, Trieste
Vedi la scheda
Dentista Lazio, Roma
Vedi la scheda
Dentista Liguria, Savona
Vedi la scheda
Dentista Puglia, Lecce
Vedi la scheda
Dentista Sardegna, Cagliari
Vedi la scheda