Menu

Protesi Estetica - III° Caso clinico

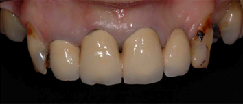
3 caso clinico, Faccette in Ceramica e Protesi fissa senza metalli: Zirconia-Ceramica (ossido di zirconio) - Allumina Ceramica - Disilicato di Litio (Pressate)

Protesi Estetica - III° Caso clinico by Dott. Enrico Deodato 19-01-2010 5081 visualizzazioni


Scritto da Dott. Enrico Deodato
Bari (BA)

Protesi fissa in Zirconia-Ceramica (metal-free)
Protesi fissa in Zirconia-Ceramica (metal-free)
Protesi fissa in Zirconia-Ceramica (metal-free)
Protesi fissa in Zirconia-Ceramica (metal-free)
Protesi fissa in Zirconia-Ceramica (metal-free)

TAG: Protesi Estetica - III° Caso clinico