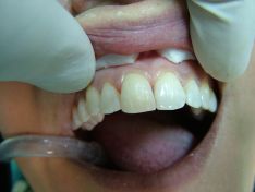
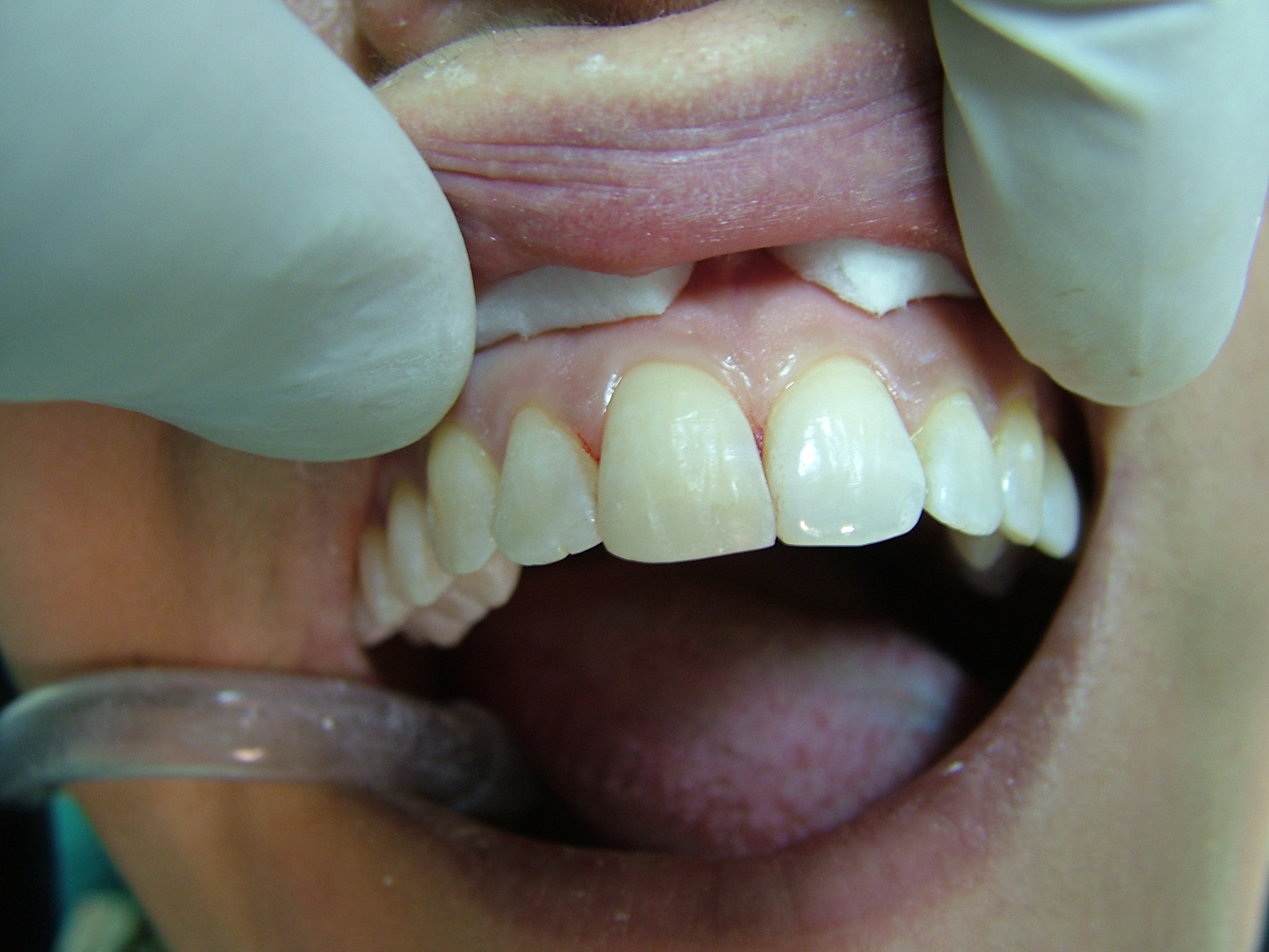
L'estetica dei settori anteriori riveste un ruolo importantissimo per il paziente che ha perso accidentalmente parte di uno o più denti nei settori anteriori. Questi pazienti vengono trattati pressochè immediatamente dopo il trauma, evitando loro l'insorgenza del fattore psicologico", che spesso si manifesta dopo un trauma dentale. Mediante laboratorio intra-ambulatoriale, si confezione un mock up e si realizza un mascherino in silicone, aperto anteriormente. Questo mascherino ricopia fedelmente la porzione marginale e la faccia palatale del futuro manufatto. il silicone "guida" si fabbrica dopo la presa delle impronte - la ceratura del dente andato perso - ed il modellamento del silicone che una volta indurito verrà rifinito ai margini.









Dentista Liguria, Genova
Vedi la scheda
Dentista Piemonte, Torino
Vedi la scheda
Dentista Friuli Venezia Giulia, Gorizia
Vedi la scheda
Dentista Friuli Venezia Giulia, Udine
Vedi la scheda
Dentista Trentino Alto Adige, Bolzano
Vedi la scheda