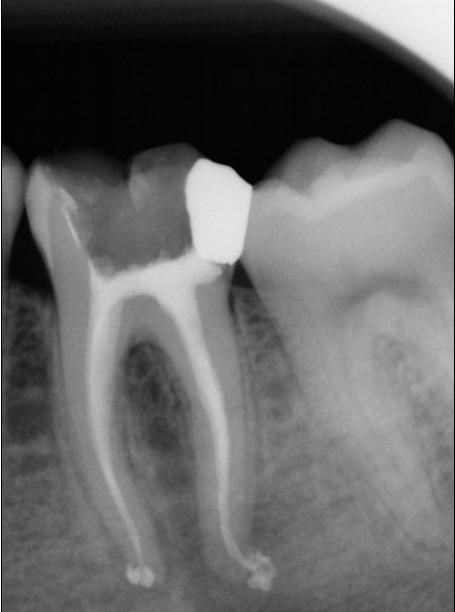
Di seguito sono state inserite le radiografie finali di altrettanti denti devitalizzati, omettendo le radiografie eseguite all’inizio e durante la cura canalare, per avere la possibilità di una più ampia carrellata di casi. Le devitalizzazioni sono state eseguite secondo la tecnica della condensazione verticale con onda di calore. Sono stati scelti denti che presentassero qualche piccola particolarità come radici particolarmente curve, doppi canali, delta apicale molto diramato, ecc. Tutti i casi riportati sono stati eseguiti personalmente dal dr Michele Caruso. E’ importante notare che l’obiettivo principale della cura canalare è la sigillatura dell’apice dentale. Questo risultato si ottiene, in modo tridimensionale ed ermetico, con una ottima sagomatura e detersione dei canali che devono essere stati preparati sotto diga di gomma e a bagno di ipoclorito di sodio al 5% per un’ora. Prima della asciugatura finale, i canali radicolari vanno riempiti di ipoclorito e va inserito all’interno di essi fino a 2 mm. dall’apice un K-file da 10 montato su manipolo da ultrasuoni, al fine di eliminare gli ultimi residui organici. Questa operazione va ripetuta alcune volte finchè l’ipoclorito non resta completamente limpido anche sotto l’azione degli ultrasuoni. L'apice va quindi sigillato con guttaperca appena sporcata di cemento canalare e scaldata per compattarla secondo la tecnica della condensazione verticale. Solo in questo modo si potrà evitare la comparsa di un granuloma apicale o, se presente, farlo guarire. Lo “sbuffetto” di gomma appena oltre apice è un segno assolutamente benigno ed è garanzia, quando è stata seguita una corretta procedura, di sigillo apicale.













Dentista Puglia, Bari
Vedi la scheda
Dentista Lazio, Roma
Vedi la scheda
Dentista Emilia Romagna, Rimini
Vedi la scheda
Dentista Lombardia, Monza e Brianza
Vedi la scheda
Dentista Campania, Napoli
Vedi la scheda