La paziente, di anni 38, si presenta alla nostra attenzione lamentando il consumo di alcune corone in ceramica inserite oltre 10 anni prima. Dalla OPT si evidenziano terapie endodontiche insufficienti a carico del 46 e 47 oltre che una forte compromissione dei margini protesici, che, all'esame obiettivo mostravano una forte demineralizzazione. L'ipotesi di recupero degli elementi è stata scartata in favore di un doppio autotrapianto dei denti del giudizio inferiori.
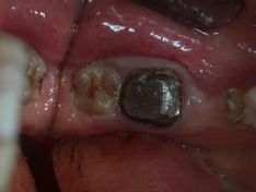
Quindi è stato eseguito un trapianto dentale autogeno di 48 in 47 e 38 in 46. E' stato posizionato uno splintaggio non rigido durante l'intervento, rimosso successivamente a distanza di circa 15 giorni. A distanza di circa un mese dall'autotrapianto gli elementi sono stati trattati endodonticamente e restaurati in composito.
Le ultime radiografie a 10 mesi di distanza mostrano i denti opportunamente integrati. All'esame obiettivo sono dotati di mobilità fisiologica, non presentano sondaggio parodontale patologico e non sono sintomatici alla percussione.
Quindi è stato eseguito un trapianto dentale autogeno di 48 in 47 e 38 in 46. E' stato posizionato uno splintaggio non rigido durante l'intervento, rimosso successivamente a distanza di circa 15 giorni. A distanza di circa un mese dall'autotrapianto gli elementi sono stati trattati endodonticamente e restaurati in composito.
Le ultime radiografie a 10 mesi di distanza mostrano i denti opportunamente integrati. All'esame obiettivo sono dotati di mobilità fisiologica, non presentano sondaggio parodontale patologico e non sono sintomatici alla percussione.















Dentista Sicilia, Messina
Vedi la scheda
Dentista Emilia Romagna, Parma
Vedi la scheda
Dentista Campania, Salerno
Vedi la scheda
Dentista Trentino Alto Adige, Trento
Vedi la scheda
Dentista Puglia, Brindisi
Vedi la scheda