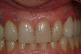
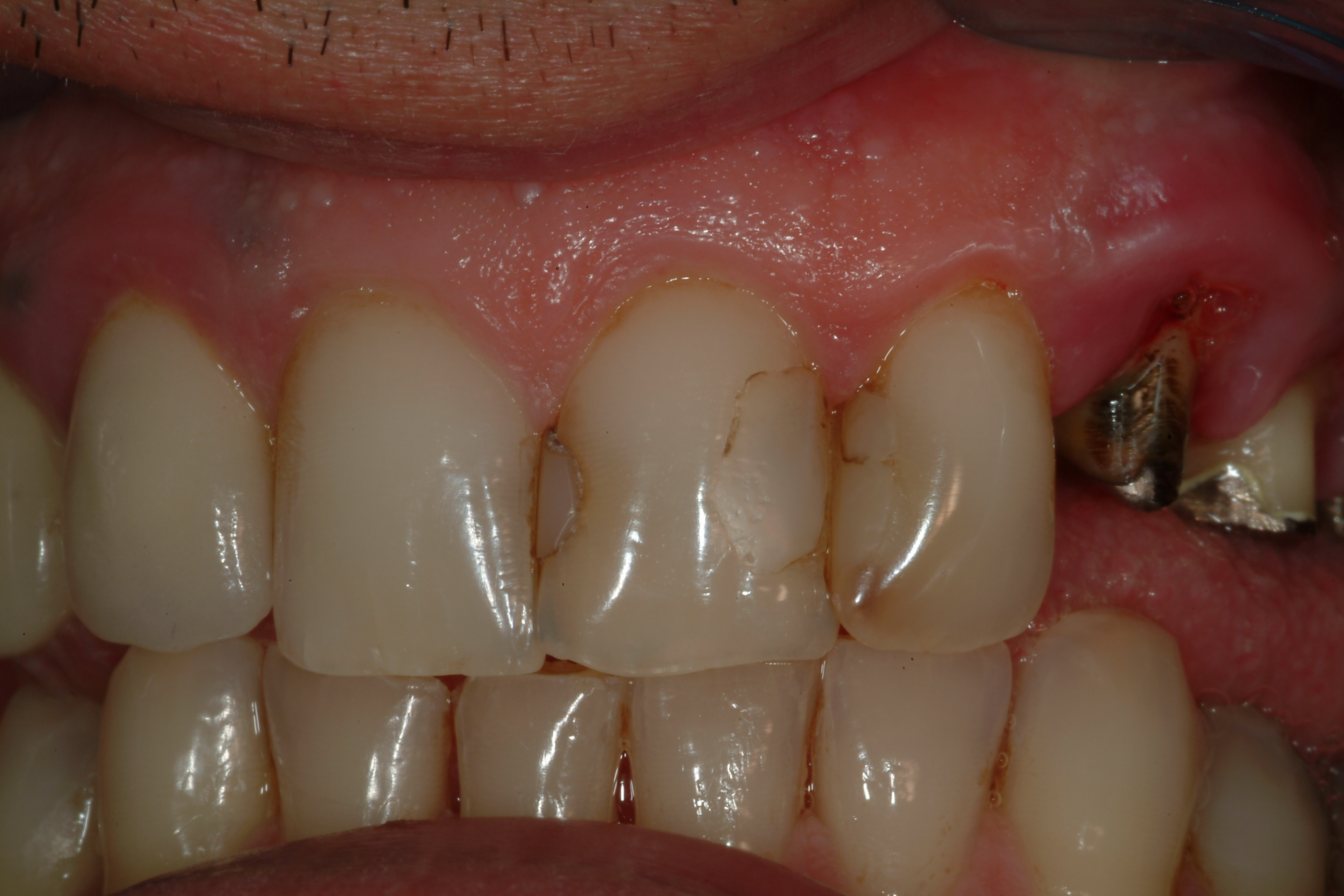
Il paziente si presenta nel mio studio chiedendo di recuperare l'estetica dei suoi denti senza devitalizzarli. In seguito a rx endorale ho appurato l'inutilit di effettuare un trattamento endodontico; la carie non aveva interessato in alcun modo la polpa.
Vengono eseguite le ricostruzioni con tecnica di stratificazione anatomica.



Dentista Toscana, Firenze
Vedi la scheda
Dentista Piemonte, Torino
Vedi la scheda
Dentista Marche, Ancona
Vedi la scheda
Dentista Piemonte, Torino
Vedi la scheda
Dentista Sardegna, Cagliari
Vedi la scheda