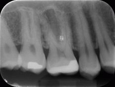
Il caso è di un maschio 46enne con l’elemento 16 (primo molare superiore di destra) presentante otturazione di amalgama infiltrata. Dopo aver effettuato i 4-5 tests clinici valutativi, si è eseguita l’anestesia locale e iniziata la rimozione della stessa e della dentina cariata.
Dopo aver scoperto parte della camera pulpare (la zona in cui è presente il “nervo”) si è proceduto ad eseguire l’incappucciamento diretto con BIODENTINE (septodont), un materiale appartenente alla classe dei cementi portland con una elevata biocompatibilità e caratteristiche meccaniche molto simili a quelle della dentina naturale.
Dopo quasi due mesi si è proceduto alla preparazione della cavità e alla realizzazione dell’impronta per la realizzazione di un intarsio in composito rinforzato.
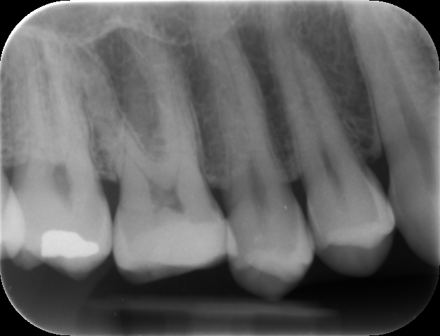
Si può notare la risposta positiva della polpa e la soddisfazione del paziente nell’avere, a distanza di più di un anno, il suo dente ancora vitale.















Dentista Emilia Romagna, Reggio Emilia
Vedi la scheda
Dentista Emilia Romagna, Modena
Vedi la scheda
Dentista Sicilia, Ragusa
Vedi la scheda
Dentista Piemonte, Torino
Vedi la scheda
Dentista Piemonte, Torino
Vedi la scheda