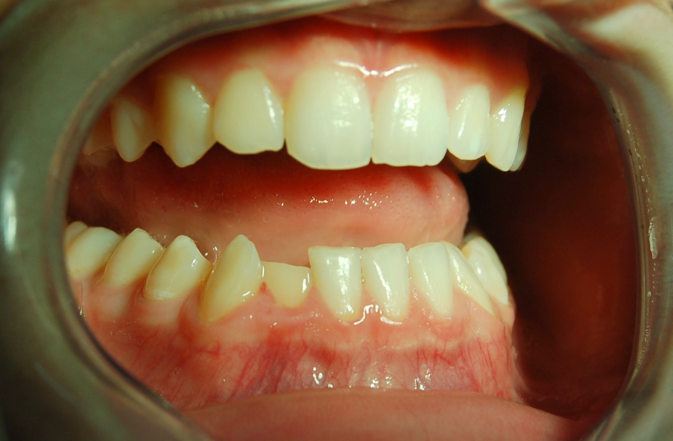
Il paziente di 13 anni mostra una lesione trasversale dell'incisivo laterale inferiore di destra, in seguito ad un trauma sportivo.
Queste lesioni sono molto frequenti in questa fascia di età e risulta fondamentale avere un approccio che sia il più conservativo possibile.
Anni fa un caso di questi veniva trattato con l'ausilio di perni dentinali o addirittura devitalizzando e ricostruendo il dente con un perno canalare.
Oggi, grazie ai progressi dell'odontoiatria adesiva si può ottenere un risultato esteticamente eccellente con un danno biologico minimo.
Una volta lucidati i margini del frammento si eseguono le procedure adesive e quindi si utilizza del composito adeguatamente riscaldato per la cementazione.
Il risultato è estremamente soddisfacente.
Approccio conservativo nel trattamento delle fratture coronali
Ricementazione adesiva di un frammento dentale
TAG: Approccio conservativo nel trattamento delle fratt





Dentista Lombardia, Monza e Brianza
Vedi la scheda
Dentista Lazio, Frosinone
Vedi la scheda
Dentista Piemonte, Torino
Vedi la scheda
Dentista Piemonte, Alessandria
Vedi la scheda
Dentista Toscana, Pisa
Vedi la scheda