La paziente si è rivolta alla nostra attenzione per sostituire una vecchia otturazione in amalgama infiltrata. Dopo la rimozione dell'amalgama è residuata una cavità di dimensioni considerevoli. La richiesta è stata quella di riabilitare il dente in maniera estetica senza ricorrere a terapie protesiche che potessero incidere in maniera considerevole sul suo budget di spesa.
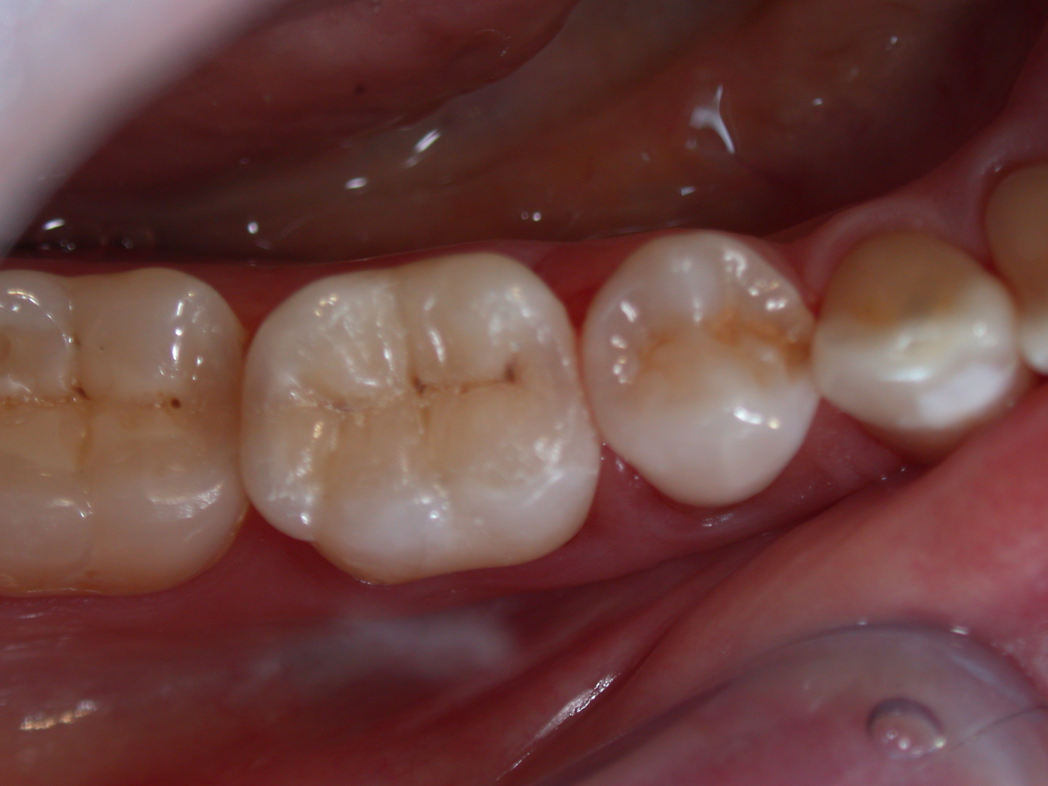
Otturazione estetica anatomizzata in composito con caratterizzazioni occlusali di molare inferiore.
La paziente ha subito un restauro conservativo di molare inferiore secondo i canoni di anatomia, funzione ed estetica.
TAG: Otturazione estetica anatomizzata in composito con



Dentista Puglia, Taranto
Vedi la scheda
Dentista Sicilia, Palermo
Vedi la scheda
Dentista Lombardia, Bergamo
Vedi la scheda
Dentista Campania, Napoli
Vedi la scheda
Dentista Lombardia, Milano
Vedi la scheda