Menu

Pedodonzia | Domande Pag. 11 (da 11 a 15)

Risultati trovati: 315

Il mio bambino di 7 anni ha un incisivo (dente definitivo) demineralizzato...

Buongiorno, il mio bambino di 7 anni ha un incisivo (dente definitivo) demineralizzato, che ha un aspetto ed una forma irregolare sia nel profilo che nella superficie. ll medico che lo segue da un anno circa, mi ha consigliato di fare una ricostruzione per proteggerlo da eventuali carie e da un eventuale sensibilità. Ho consultato un altro

Leggi tutto

Abbiamo un bimbo di 16 mesi con il frenulo sub-linguale corto

Buongiorno, abbiamo un bimbo di 16 mesi con il frenulo sub-linguale corto. Ci hanno consigliato l'intervento chirurgico in anestesia totale (già prenotato per il mese di gennaio 2014). Siamo molto spaventanti non dall'intervento in se ma dal fatto che debba essere eseguito in anestesia totale. Volevo chiedere un consiglio su come dobbiamo

Leggi tutto

Secondo voi è corretto procedere cosi?

Buongiorno e grazie per il buon servizio. Mia figlia di 3 anni è stata visitata da una pedodontista che le ha riscontrato la "morte" di un incisivo ed un paio di cariette. L'incisivo è morto a seguito di alcune cadute ma non ci sono sintomi collegati ad esso. Secondo la pedodontista la bimba è troppo piccola per fare

Leggi tutto

Mio figlio di 3 anni presenta sui molari e canini delle striature nere

Salve, mio figlio di 3 anni presenta sui molari e canini delle striature nere che partono dalle gengive. Il pediatra mi ha detto che é un eccesso di ferro e che scomparirà quando cambierà i denti..il problema é che sta peggiorando..cosa sono queste macchie?? e colpa del ferro?? che devo fare?? Un aiuto grazie mille

Leggi tutto

Devo stare attento a qualche segnale?

Mia figlia di 3 anni è finita viso a terra su una pavimentazione in cemento liscio. Fortunatamente indossava il casco protettivo, che per via della "visiera" ha attutito una parte dell'urto. Prognosi: edema al labbro sup., lieve edema alla piramide nasale, dolore alla palpazione degli incisivi centrali superiori, non mobili

Leggi tutto

RINGRAZIAMENTI per le risposte ricevute alla domanda: La mia bimba compie tra pochi giorni 17 mesi e ancora non spuntano i dentini

Felicissima!!!! Volevo dare la bella notizia, sono la mamma della bimba di 17 mesi che non aveva messo ancora i dentini!!! Oggi è uscito il suo primo dentino ;) grazie a tutti per avermi risposto buona serataPrecedente:http://www.dentisti-italia.it/dentista_domande/pedodonzia/8193_la-mia-bimba-compie-tra-pochi-giorni-17-mesi-e-anc.html

Leggi tutto

La mia bimba compie tra pochi giorni 17 mesi e ancora non spuntano i dentini

Buongiorno. La mia bimba compie tra pochi giorni 17 mesi e ancora non spuntano i dentini, il pediatra dice di stare tranquilla ma adesso inzio un po a preoccuparmi. Se le guardo la bocca si vedeno pronunciati i canini ed in basso sembrano ci siano due puntini bianchi ma della fuoriuscita dei denti nulla. Voglio aggiungere solo per avere un quadro

Leggi tutto

Davvero non si può curare da cosi piccoli e l'unico modo è usare spesso lo spazzolino?

Salve, sono mamma di una bambina di 26 mesi. Da quando ha 20 mesi abbiamo notato che i 4 incisivi superiori non hanno smalto nella parte alta, vicino al palato. Il ns. pediatra ci ha detto di non andare per ora dal dentista, comunque da cosi piccoli non sarebbe possibile effettuare una cura e di stare attenti all'igiene orale. Pero passati 6 mesi,

Leggi tutto

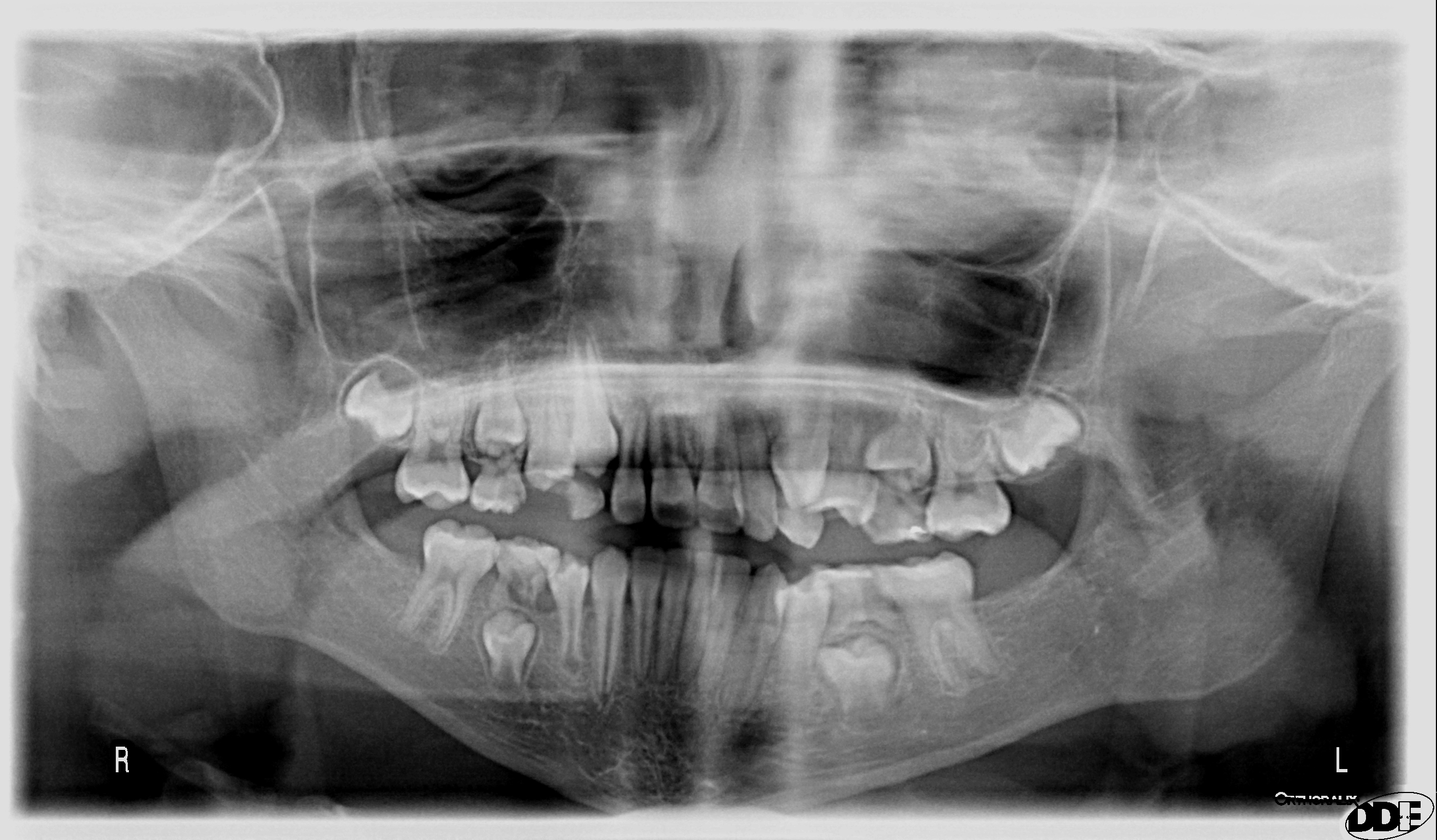
A mia figlia di 9 anni mancano i 2 settimi inferiori

Buongiorno, sono il papà di una bambina di 9 anni, da una panoramica ai denti ci siamo accorti che mancano i 2 settimi inferiori; cosa può portare questa anomalia negli anni a venire alla bocca della bambina?? grazie, Claudio

Leggi tutto

E' normale che spunti così storto?

Salve, al mio bambino di 8 mesi è spuntato il primo dentino inferiore più di un mese fa..bello dritto..perfetto....in questa ultima settimana invece è spuntato quello a fianco obliquo..se non quasi verticale..infatti il bambino è stato molto più nervoso e irrequieto del dente precedente..è normale che

Leggi tutto